아하
  • 토픽

  • 스파링

  • 잉크

  • 미션


의료상담

가끔자랑스러운도라지

가끔자랑스러운도라지

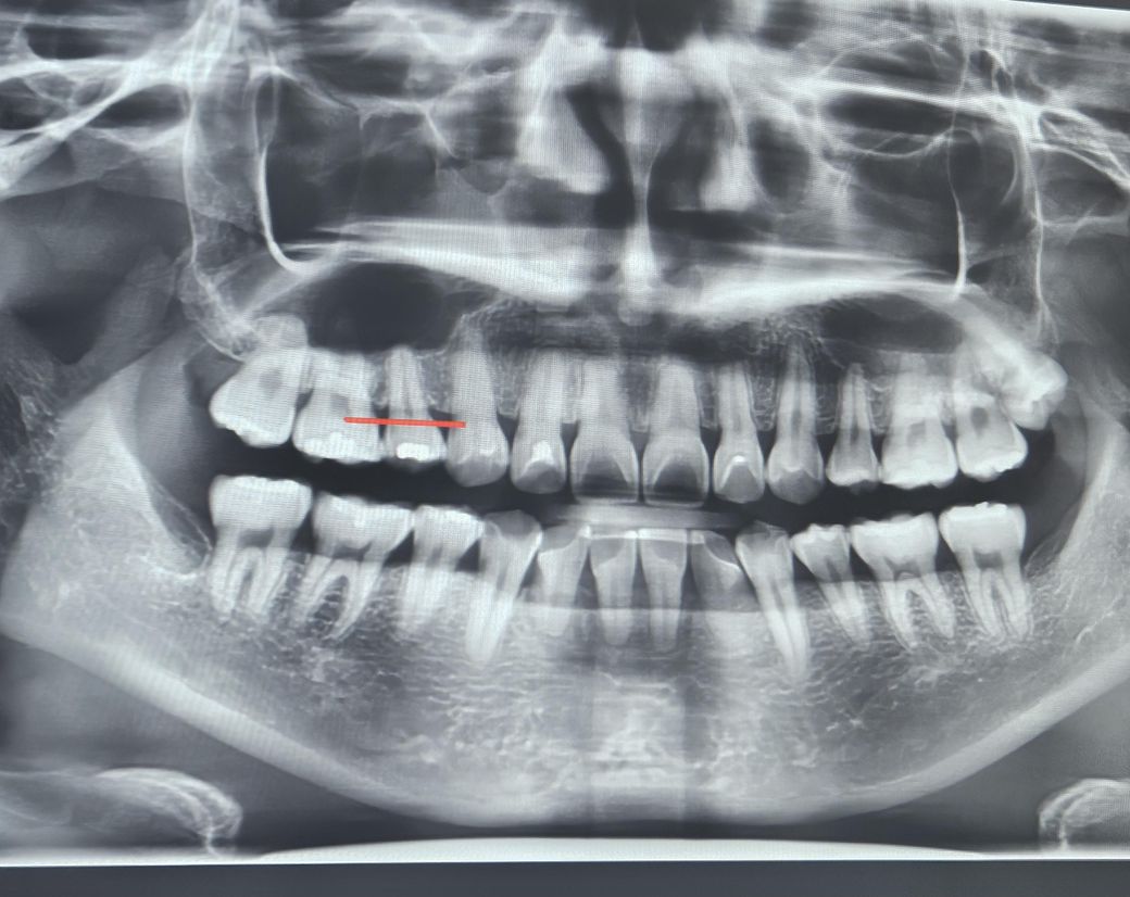
치근흡수 앞니 치아뿌리 상태 봐주세요ㅠㅠ

20대 중반. 교정한지 10년 좀 넘었습니다.

사랑니 뽑느라 치과에 갔는데 원장님에서 치아 뿌리가 짧다고 하셔서요. 제가 봐도 아래 앞니가 많이 짧아 보이는데ㅠㅠ 치간칫솔 등 사용하고 앞니 안쓰려고 하고 잇몸관리 하고 있습니다만ㅠㅠ 이경우 40까지 버틸 순 있을까요?

손으로 잡아 살짝 흔들면 다른 이들보다 조금 흔들리는 것 같긴 하지만... 일단 일상생활에서 불편함은 없어요ㅠㅠ

  • 1번 째 사진

4개의 답변이 있어요!

  • 김지훈 치과의사

    김지훈 치과의사

    메가

    안녕하세요. 김지훈 치과의사입니다.

    치아 뿌리가 짧긴 하지만 특별히 문제가 심해보이진 않습니다. 열심히 관리해주시면 오래쓸겁니다.

  • 안녕하세요. 안상우 치과의사입니다.

    치아뿌리가 짧은 경우에는 다른 치아보다 물리는 힘에 약할 수 있습니다. 하지만 관리를 잘 한다면 해당 치아도 오래 사용할 수 있습니다. 치아에 가해지는 힘을 줄여 주시고 치아 주변을 깨끗하게 유지해서 잇몸 질환이 생기지 않도록 해주는 것이 좋습니다.

  • 안녕하세요. 김철진 치과의사입니다.

    치아 뿌리가 짧다고 크게 문제가 생기는건 아닙니다. 치과를 정기적으로 다니시면서 관리하시면 큰 문제는 없을꺼에요.

  • 안녕하세요. 최석민 치과의사입니다.

    1. 교정 후 치근흡수는 흔히 발생할 수 있는 부작용이며 선천적으로 치아 뿌리가 짧은 경우도 있습니다.

    2. 치근이 짧다고 해서 당장 어떤 문제가 생기거나 하는건 아니나 잇몸뼈가 노화로 퇴축되었을 때 남들보다 치아가 더 빨리 흔들리거나 할 순 있습니다.

    3. 현재 치관:치근 비율로는 치아가 많이 흔들리거나 하진 않을 것입니다. 손으로 잡고 흔들어봤을때 살짝 흔들리는 정도는 생리적 동요도의 범주일 것으로 예상됩니다.