홈
토픽
스파링
잉크
미션
전문가 신청
베리몰
나도 질문하기
의료상담
때론흥겨운운동가
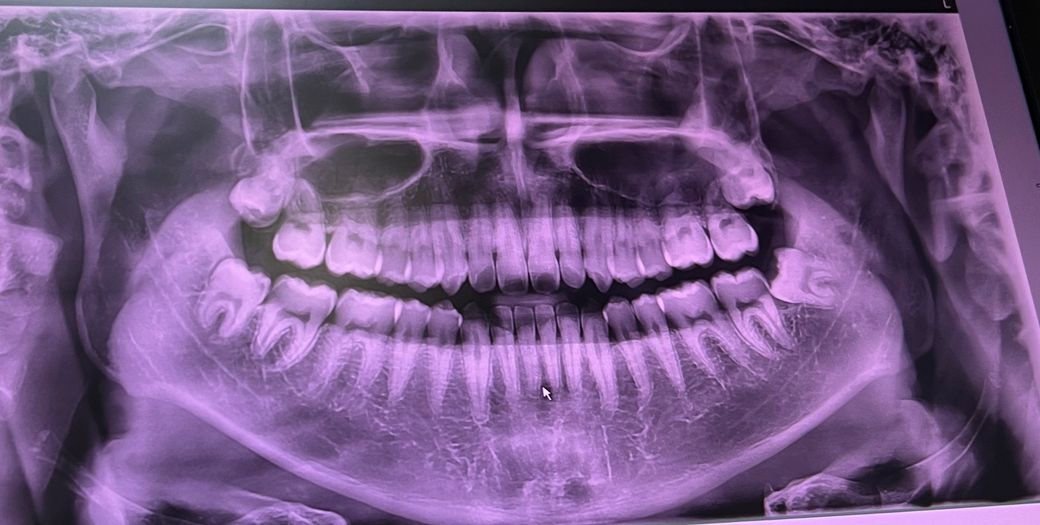
가만히 있어도 아랫니가 시려서 치과에 갔더니 치석때문일 수도 있다고 스케일링 하고 경과 지켜보자고 하십니다.
그리고 충치가 여러군데 있다고 하셨고 사랑니에도 있어서 사랑니 뽑아야 된다고 하시더라구요.
사랑니 한개는 신경에 근접해 있다고 하셨습니다.
결론은 사랑니 전문 치과에 한번 가봐야 할까요?
아니면 기존 치과에서 뽑아도 될까요?
사진 보기
1개의 답변이 있어요!
최석민 치과의사
강원도 원주의료원
∙
안녕하세요. 최석민 치과의사입니다.
거기 치과에서 뺄 수 없다고 판단되면 큰 치과가라고 보냅니다 별말 없었으면 발치 충분히 가능한 겁니다
다만 전문병원 간다고 뾰족한 수가 있는건 아닙니다 빼다가 신경 건드렸을때 탈날 가능성 있는건 누가 뽑아도 마찬가지입니다
그래도 ct찍고 위치 관계확인 후 최대한 조심할 필요는 있죠
평가
2
응원하기