아하
  • 토픽

  • 스파링

  • 잉크

  • 미션


의료상담

보람찬재칼24

보람찬재칼24

25.03.29

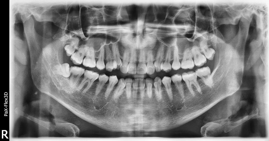
사랑니 발치를 할 생각입니다. 사랑니 옆에 충치가 있는데 충치만 다른데서 할지 고민입니다.

사랑니 옆에 충치가있어 사랑니를 뺄생각입니다. 동네에 잘하는 발치전문 치과과 있는데 거기서 일단 발치를 할 생각입니다. 충치가 문제인데 아무래도 사랑니 옆에 충치가 많으니 치료경험이 많으니 거기서 신경치료를 받을지 아니면 신경치료를 전문으로 하는데서 받을지 고민입니다. 조언부탁드려요. 사진첨부합니다.

  • 1번 째 사진

4개의 답변이 있어요!

  • 김지훈 치과의사

    김지훈 치과의사

    메가

    25.03.30

    안녕하세요. 김지훈 치과의사입니다.

    사랑니 발치는 한 곳에서 하고 치료는 다른 곳에서 받더라도 상관 없으며 편하신대로 하시면 됩니다.

  • 안녕하세요. 김철진 치과의사입니다.

    신경치료는 치과에서 기본적으로 다 하는 치료이니 기존 다니시는 치과에서 하셔도 되고 사랑니 발치를 하는 치과에서 하셔도 될것같습니다 .

  • 안녕하세요. 안상우 치과의사입니다.

    사랑니 발치와 충치치료는 서로 다른 치과에서 진료를 받아도 됩니다. 자신이 치료를 받고자 하는곳에서 치료를 받으면 될것으로 생각됩니다.

  • 안녕하세요. 송우식 치과의사입니다.

    사랑니 전문으로 하는 치과에서 사랑니 빼시고 신경치료는 충치치료한 치과에서 그냥 받아도 됩니다. 굳이 신경치료하는 치과 찾아가지 않아도 됩니다.