아핫뉴스실시간 인기검색어
아핫뉴스 화산 이미지
화산 아이콘 11
비트코인 내년 폭등 200달러 간다
많이 본
아하

의료상담

신경과·신경외과

빼어난불독173
빼어난불독173

내시경점막하절제술 받고 나서 조직검사 기다리는 중입니다?

성별
남성
나이대
85
기저질환
신경과 약 복용중
복용중인 약
안티코어sr ?






상급 병원에거 시술을 받으시고

담당 교수님께서 제거한 혹을 보여주시면서

잘 제거 되었다고 하셧습니다


그리고 회진때도 오셔서 잘 되었고

2주 후 조직검사 결과 확인 하여야 한다고

그때 외래 예약 하구 왔습니다


조기암 이라고 하셧고

잘 제거 되었다고 하셨습니다


저정도면 림프.쪽이나 혈관등에 전이가 되었는지

너무 궁금 합니다


연세도 많으시고... 해서 림프절 전이나 이런게 없었으면 하는 마음이 너무 큽니다


혹여 많은 경험있으신 선생님즐께서 보시기엔 대충이라도

저정도면 조직검사에서 림프절이나 혈액등에 전이 문제가 없을까요?



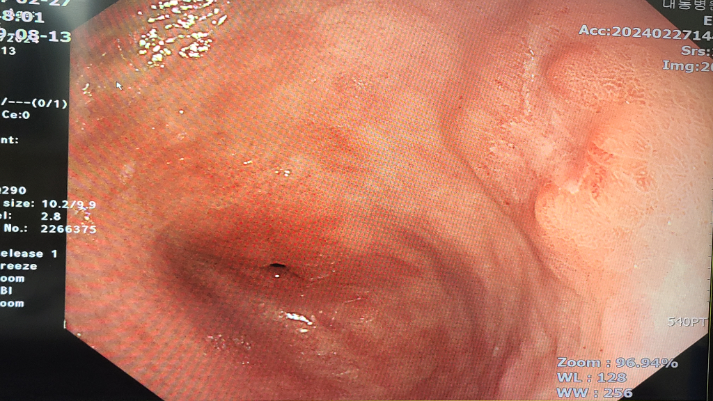
  • 1번 째 사진
  • 2번 째 사진
  • 3번 째 사진
  • 4번 째 사진
  • 5번 째 사진
2개의 답변이 있어요!
  • 안녕하세요. 신성현 의사입니다.

    육안상으로 보아서 전이 여부를 판단할수는 없습니다. 진행성 암이 아니고 조기암이 었기 때문에 내시경적 절제술이 가능했다는 것으로 추정해보았을때는 전이의 가능성은 낮을 것으로 보이나,

    조기암 중에서 위험도를 판단해보자면 사진과 같은 궤양성은 비교적 (조기암 중에서는) 위험도가 높은 편에 속합니다.

  • 안녕하세요. 채홍석 의사입니다.

    육안으로 구별하는 것은 쉽지 않습니다

    단지 ESD를 시행하는 것은 다른 검사에서 특별한 소견이 없어서 그런 것이니

    병변이 깊게 번지지 않았을 것이라고 기대합니다

    추천 좋아요 부탁드립니다.