아핫뉴스실시간 인기검색어
아핫뉴스 화산 이미지
아하

의료상담

치과

고급스런콩중이63
고급스런콩중이63

오른쪽 위 맨끝 치아 어금니 통증??

오른쪽 위 맨끝 어금니 치아가 한번식 욱신 하이 아픕니다..

치과에 내원하엿더니 충치도 없고

스케일링도 6개월마다 받구 잇고

술담배도 안합니다

나이는 이제 30대 입니다

딱딱한거 씹으면 욱신하이 아픕니다

가만히 잇어도 가끔 욱신하이 아픕니다

치아를 두들겻을댄 아프지 않으며

시린거에도 반응은없습니다

잇몸을 쑤시니 아픕니다…

충치도 아니고 왜아픈거죠??..

무슨치료를 받아야하나요??

저상태서 신경치료 진행해야할가요?

아님 버틸만큼 버틸가요!?..

도와주세요 선생님들

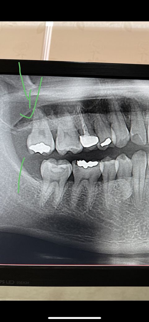
  • 1번 째 사진
55글자 더 채워주세요.
5개의 답변이 있어요!
  • 안녕하세요. 김철진 치과의사/경제·금융전문가입니다.

    치아가 씹을때만 아프신경우는 대부분 치아에 금이갓을경우에 나타나는 증상입니다. 많이 불편하지 않으시다면 조심히 사용하시면 괜찮아 지실꺼에요. 하지만, 증상이 심해지거나 못참을 정도로 아프다면 신경치료를 하셔야될수도 있습니다.

  • 안녕하세요. 김바른 치과의사입니다.

    단순히 파노라마 엑스레이만으로는 정확한 답변이 어렵습니다.

    구강내 검진과 필요시 스탠다드 엑스레이 촬영을 통해 정확한 진단을 받으셔야 치료계획 수립이 가능합니다.

  • 안녕하세요. 이정현 치과의사입니다.

    직접 검사를 해봐야 알 수 있을것이지만, 사진만봐서는 특별히 문제는 없어보입니다.

    앞쪽 잇몸이 안좋아보이긴 하지만 사진상으로 불명확하여 직접 검사를 해봐야 합니다.

    지속적으로 심한통증이 있다면 신경치료의 가능성도 있습니다.

    계속 아프시면 다시 검사를 받아보시기 바랍니다. 감사합니다.

  • 안녕하세요. 정진석 치과의사입니다.

    사진만으로는 정확히 어떤 상태인지는 알 수 없습니다. 다만 인레이 보철물이 상당히 큰 것으로 보아 치아에 금이 갔을 가능성도 있어 보입니다. 만약에 금이 갔다고 생각하면 현재 질문자님이 느끼는 통증의 대부분이 나타날 수 있기 때문입니다. 하지만 이를 평가하기 위해서는 인레이 보철물을 제거해보아야 하는데 제거 이후에도 증상이 가라앉지 않는다면 발치를 해야할 수도 있기 때문에 불편감이 크지 않다면 조금 더 지켜보는 것도 방법입니다.

    아무쪼록 저의 답변이 문제 해결에 작게 나마 도움이 될 수 있기를 기원드립니다. 항상 건강하고, 행복하세요^^

    정진석 치과의사 드림

  • 탈퇴한 사용자
    탈퇴한 사용자

    안녕하세요. 장인아 치과위생사입니다.

    치아에 금이 갈 가능성이 있습니다.

    차아에 금이가는 이유는 이악무는습관, 이갈이, 강하게 씹는 습관 등이 있습니다.

    치아에 금이 가면 씹을때 통증, 차가운 음식 섭취시 시큰거림 찌릿함, 무증상이 있을수 있습니다.

    치아에 금이 가 있으면 보철물로 씌워 줘야 합니다.

    치근으로 연장된 신경 조직에 염증을 일으키면 신경치료 후 씌워 줘야 하고

    악화 되면 발치를 해야 할수도 있습니다.

    도움이 되기를 바랍니다. 건강하세요.

PC용 아하 앱 설치 권유 팝업 이미지장도연이 추천하는 아하! 앱으로 편리하게 사용해 보세요.
starbucks
앱 설치하고 미션 완료하면 커피 기프티콘을 드려요!