아핫뉴스실시간 인기검색어
아핫뉴스 화산 이미지
화산 아이콘 11
쿠팡 美정부 조사
아하

의료상담

정형외과

진기한동박새275
진기한동박새275

비급여 양쪽다리 철심 제거수술 비용 및 기간이 어떻게 될까요?

성별
남성
나이대
24

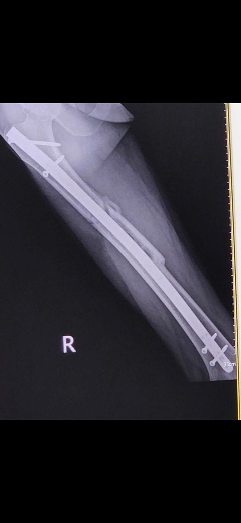
보험이 적용이 안되는 상황이고 오른쪽 다리엔 허벅지 뼈쪽에 길게 철심이 박혀있구요왼쪽 무릎은 철심 두개? 박혀있어요 양쪽 다리 한번에 뺄 수 있나요? 보험을 받지 못하는 상황이라 비급여 가격이 어떻게 되는지 궁금합니다 MRI 찍은게 있긴한데 1년 넘었습니다 그거 가져가도 되나요? 회복기간은 어떻게 될까요?

오른쪽다리

  • 1번 째 사진
3개의 답변이 있어요!
  • 안녕하세요. 김덕현 물리치료사입니다.

    철심제거수술의경우 병원에따라 비용이나 시간이달라질수있습니다 따라서 방문하려고하는병원측에 문의해보는것이 좋은데요

    철심제거수술은 비교적 간단한 수술이기때문에 너무 걱정하지않아도 괜찮습니다 감사합니다~!

  • 안녕하세요. 송진영 물리치료사입니다.

    비급여 철심 제거 수술의 비용은 병원에 따라 다르며 대개 한쪽 다리 기준으로 100만원에서 300만원 정도입니다.

    양쪽다리를 한번에 제거할 수 있지만 수술 난이도와 회복 상태에 따라 의사와 상담이 필요합니다

    Mri는 1년이 넘었더라도 최근 촬영된 것에 비해 차이가 없다면 사용 가능할 수 있으니 병원에 문의 후 준비하세요!

  • 안녕하세요. 이호진 물리치료사입니다.

    가격이나 양쪽다 가능한지에 대한 여부는 수술을 받으신 병원에 문의하시는 게 가장 빠르고 정확하다고 여겨집니다. 수술하신 의사선생님이 가장 정확하게 알고 계실 것이기 때문에 담당의사선생님께 양쪽 철심제거 가능 여부를 확인해보시는 것이 좋을 것이고 해당병원 원무과에 전화하셔서 수술비용에 대한 문의를 넣으시는 것이 좋을 것이라 생각이 됩니다.