아핫뉴스실시간 인기검색어
아핫뉴스 화산 이미지
아하

의료상담

이비인후과

터프한여치53
터프한여치53

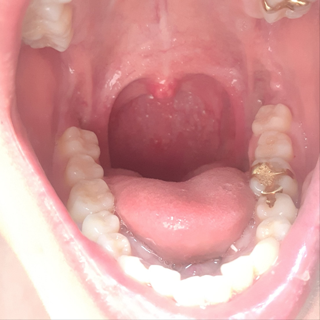
이정도면 편도가 큰건가요?제가 편도가 비대칭인데

성별
남성
나이대
29
기저질환
공항 식도염
복용중인 약
공항약

편도가 제가 비대칭인데 한쪽이 약간 더 큰데 이비인후과에서는 아무소리도 없던데 요즘따라 더 커진 느낌인데 느낌상 이정도면 큰건가요??이거로 인해 불편한건 없습니다






  • 1번 째 사진
  • 2번 째 사진
  • 3번 째 사진
  • 4번 째 사진
3개의 답변이 있어요!
  • 사진의 소견만 놓고 정확하게 어떻다 말씀드리기는 부적절하긴 하나, 사진의 소견을 통해서 보았을 때에는 편도가 별로 크지 않습니다.

  • 안녕하세요. 아하(Aha) 의료분야 답변자 외과 전문의 배병제입니다.

    사진으로 볼 때 편도는 그리 큰 편이 아닙니다. 평균적인 수준이라고 볼 수 있겠고 걱정할만한 문제는 없어보입니다.

    저의 답변이 도움이 되셨길 바랍니다.

  • 관련 전공이 아니라 조심스럽지만 (제가 보기엔)

    특별히 커져있다고 느껴지는 곳은 보이지 않습니다만...

    다른 분들의 의견이 궁금하네요