아핫뉴스실시간 인기검색어
아핫뉴스 화산 이미지
화산 아이콘 11
비트코인 관련 소식
아하

의료상담

신경과·신경외과

얌전한극락조99
얌전한극락조99

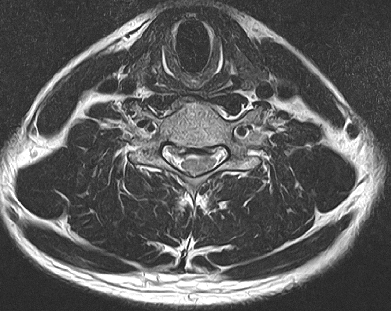
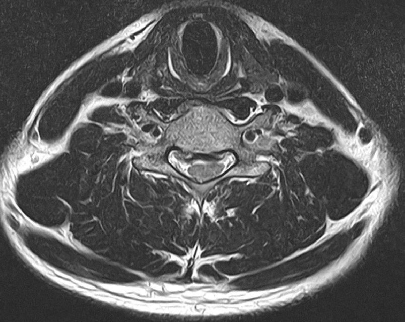
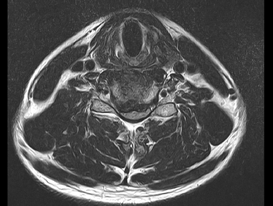
경추 MRI 결과인데 혹시 심각한걸까요

성별
남성
나이대
28

https://www.a-ha.io/questions/4c041bcf4a949693bda2ffd509cdee29

경추 4~5번에 문제가있다고해서 찍엇는데

상태 의견좀 여쭙고싶습니다,,

  • 1번 째 사진
  • 2번 째 사진
  • 3번 째 사진
1개의 답변이 있어요!
  • 안녕하세요. 남희성 의사입니다.

    해당 단면이 척추의 어느 부위인지를 알 수 있으면 더 정확한 판단이 가능합니다.

    아마 올려주신 사진중에서 두번째 사진이 디스크가 가장 많이 튀어나온 부위의 단면일 거라고 예상됩니다.

    저번에도 이야기 드렸듯 MRI 결과보다 증상이 더 중요합니다.

    근력저하가 심하지 않다면 수술적인 치료를 전혀 고민하실 필요가 없습니다.

    허리디스크탈출보다 목디스크탈출이 지탱해야할 무게가 적기 때문에 훨씬 회복이 잘 됩니다. 나이가 많이 젊으시구요.