의료상담
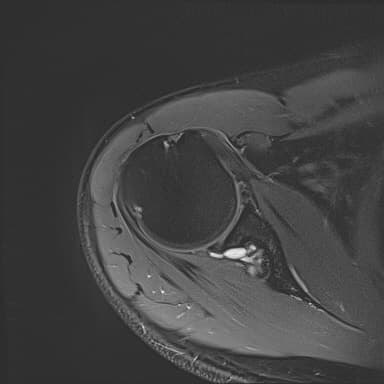
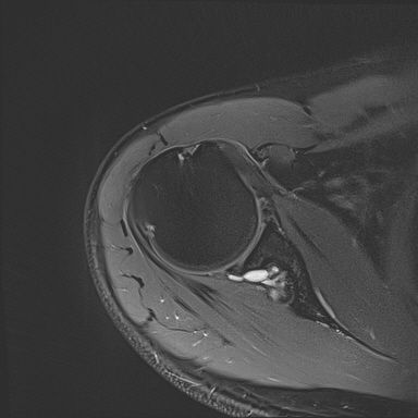
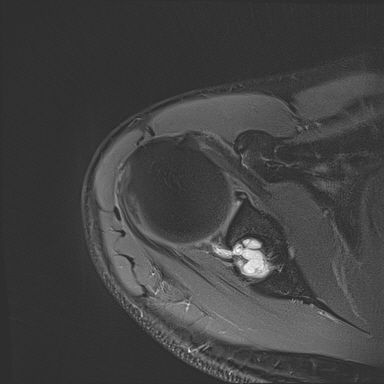
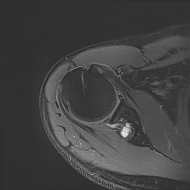
어깨 mri 좀 봐주세요 물혹있다고 하는데 수술해야 하나요?
성별
남성
나이대
52
현재 경추에 팽륜이 있습니다. 오래 되었구요
하도 안 나아서 우측 견관절도 mri 촬영을 했는데 물혹이 있네요
이거 수술해야 하나요?
팔에 힘이 안들어간다거나 방사통이나 아파서 잠을 깬다는점등은 현재 없는데...
이거 때문에 승모근이 잘 뭉치고 목이 뻣뻣한가요?
55글자 더 채워주세요.
3개의 답변이 있어요!
안녕하세요. 김덕현 물리치료사입니다.
물혹이있다고해서 무조건적으로 수술이필요한건아닌데요 좀더 정확한 진단을위해서 병원에서 전문의와 상담을받아보시고 본인의 상태에맞는 치료방법을 처방받으시길 바랍니다 감사합니다~!
안녕하세요. 송진영 물리치료사입니다.
물혹이 있다고 해서 바로 수술이 필요한 것은 아닙니다 물혹이 신경을 압박하거나 심한 통증, 마비 증상 등을 유발하지 않으면 보통 비수술적 치료로 관리가 가능합니다 승모근 뭉침과 목의 뻣뻣함은 물혹과 관련 있을 수 있어 주기적인 경과 관찰과 치료가 필요할 수 있습니다!
안녕하세요. 김지훈 물리치료사입니다.
수술하기전에 보존적 치료를 받아보시는 것을 권장드립니다.
주사치료, 도수치료, 약처방, 물리치료 등을 먼저 받아보시고,
전혀 호전이 없고, 오히려 더 심해지거나 일상생활에서 불편감이 점점 심해지신다면
수술을 고려할 수 있겠습니다만, 담당 주치의 선생님과 잘 상의해보셨으면 좋겠습니다.

