아하
  • 토픽

  • 스파링

  • 잉크

  • 미션


의료상담

날렵한돌꿩16

날렵한돌꿩16

24.05.09

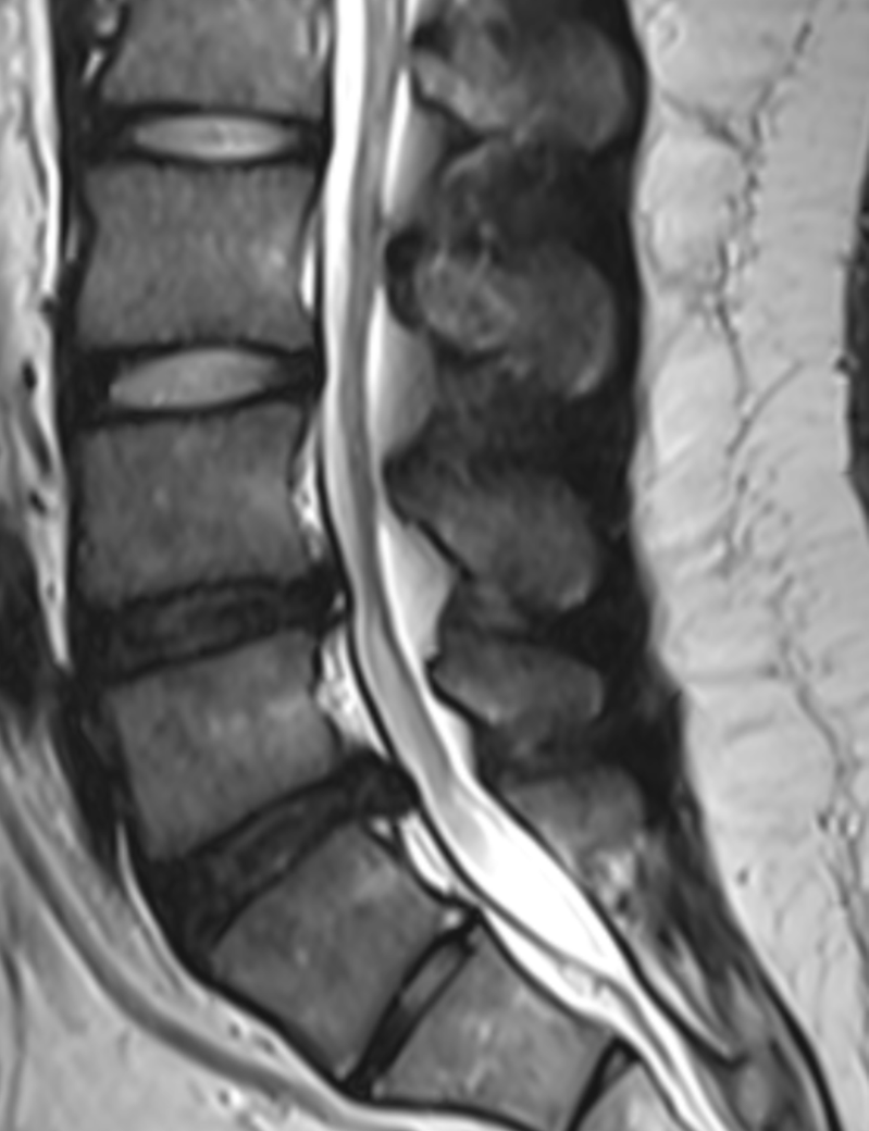
이정도면 경미한 허리디스크인가요??

성별

남성

나이대

29

2년전 찍은 mri인데 이때보다 통증이 더 심해져서요 ㅠㅠㅠ

2년전 설명들은거라 기억도 가물가물한데

mri 상으로 이정도 허리디스크는 돌출?정도이고 초기 수준인가요??..

  • 1번 째 사진

1개의 답변이 있어요!

  • 송진영 물리치료사

    송진영 물리치료사

    보건복지부

    25.06.23

    안녕하세요. 송진영 물리치료사입니다.


    통증이 더 심해졌다면 디스크 상태나 주변 신경 압박이 변화했을 가능성이 있습니다. 최근 증상에 맞춰 재검사나 추가 진단을 받아보는 것이 좋습니다 지속적인 통증 시에는 전문의 상담 후 치료 계획을 다시 세우는 것이 안전합니다!