아하
  • 토픽

  • 스파링

  • 잉크

  • 미션


의료상담

날씬한하마135

날씬한하마135

어금니 뿌리가 먹혔는데 임플란트밖에 방법이 없을까요?

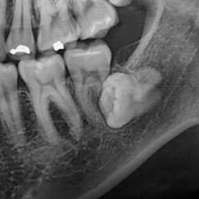
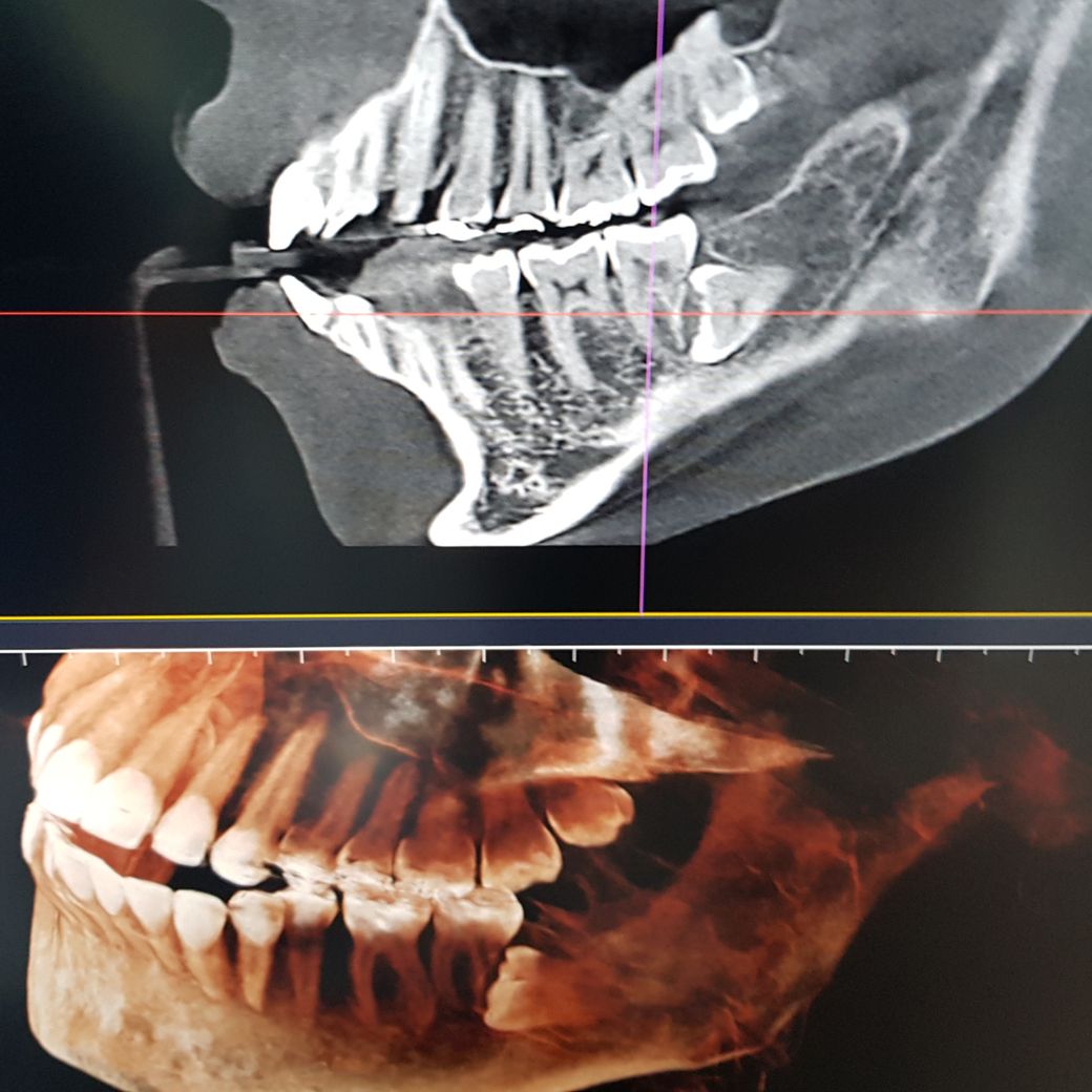
사진과 같이 매복 사랑니 때문에 앞 어금니 뿌리가 먹혔다는 진단을 받아서 둘 다 한꺼번에 발치할 예정입니다. 아무래도 임플란트를 하는 수밖에 없을까요? 혹시 다른 방법이 있을지 궁금해서 여쭤봅니다.

  • 1번 째 사진
  • 2번 째 사진
  • 3번 째 사진

6개의 답변이 있어요!

  • 탈퇴한 사용자

    탈퇴한 사용자

    안녕하세요. 김형준 치과의사입니다.


    네 아쉽지만 사랑니의 의해 뿌리가 많이 손상되어서 신경치료만으로는 회복이 힘들어 보입니다.

    사랑니와 함께 앞쪽 치아를 발치하시고 임플란트를 하시는 게 최선의 선택으로 보입니다.

  • 안녕하세요. 송우식 치과의사입니다.

    현재 매복사랑니로 인해 앞의 어금니 뿌리까지 손상이 온 경우에는 두치아 모두 발치를 해야합니다. 발치후에는 임플란트가 필요로 됩니다.

    궁금증 해소에 도움이 되시길 바라며, 도움이 되신 경우 ‘추천’ 부탁드립니다. 감사합니다.

  • 안녕하세요. 최석민 치과의사입니다.

    두번째 어금니를 온전히 살리기는 현재 상태로선 어렵습니다. 다만, 치료 방법 중에 치아를 반으로 분할하는 hemisection 등이 있고 치아를 유지할 수 있으니 참고하시기 바랍니다

  • 안녕하세요. 김지훈 치과의사입니다.

    말씀하신대로 치아뿌리가 녹아 발치를 해야하며 임플란트를 해야하는 위치입니다. 다른치료는 없을거 같습니다.

  • 안녕하세요. 김철진 치과의사입니다.

    매복사랑니가 불편하셔서 발치를 하시는건가요? 문제가 없다면 일단은 그냥 지내셔도 될것같습니다. 만약빼신다면 임플란트를 하셔야될것같아요.

  • 안녕하세요. 안상우 치과의사입니다.

    사랑니가 맹출하는 과정에서 방향이 잘못된다면 앞에 있는 치아에 뿌리를 녹이는 경우가 있습니다.

    이런 경우에는 사랑니를 발치해 주면 되며 앞에 치아가 불편하지 않다면 그대로 사용할 수 있습니다.

    이런 사랑니 발치는 난이도가 매우 높기 때문에 구강외과 전문이나 구강외과에서 발치를 하는 것을 권유 드립니다.