아핫뉴스실시간 인기검색어
아핫뉴스 화산 이미지
아하

의료상담

치과

의랑도
의랑도

어금니는 신경 치료 없이 크라운 예정입니다.

어금니는 신경 치료 없이 크라운 예정이고요

옆에 치아는 인접면 충치 있을 수도 있다고 하셔서 레진 예정이었는데요


바빠서 당분간 시간이 안되서 가까운 치과에서 치료 받으러 갔는데요.


여기 치과에서는 치료를 안해도 되신다고 하십니다.


어찌 해야 될지 당황스럽습니다.



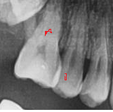
  • 1번 째 사진
55글자 더 채워주세요.
4개의 답변이 있어요!
  • 안녕하세요. 정진석 치과의사입니다.

    현재 해당 사진으로 보아서는 특별히 충치가 심해보이거나 하지 않아 보입니다. 물론 현재 사진 하나로만 판단하기에는 무리가 있습니다. 파노라마 사진은 3차원적인 자료를 2차원으로 구현하기 때문에 보이지 않는 곳에 충치가 있을 수 있고 육안으로도 판단을 해야 합니다. 다만 두번째 치과에서 치료를 하지 않아도 된다면 하면 지금 상태에서 특별히 치료를 할 필요는 없어 보입니다.

    아무쪼록 저의 답변이 문제 해결에 작게 나마 도움이 될 수 있기를 기원드립니다. 항상 건강하고, 행복하세요^^

    정진석 치과의사 드림

  • 안녕하세요. 안상우 치과의사입니다.

    충치의 범위에 따라서 치료의 범위가 달라질수있습니다.

    눈으로 보이지 않는 부위의 충치는 촬영한 사진으로 확인할수 있는데 사진으로 아두운부위가 있다고 해서 무조건 충치가 있는 것은 아니에요

    사진을 어떻게 분석했는에 따라서 치요계획에 차이가 있을수 있습니다

  • 안녕하세요. 김철진 치과의사입니다.

    왜 크라운을 하셔야된다고는 못들으셧나요?엑스레이 사진상으로는 정확히 파악은 안되지만 크게 이상은 없어 보이긴합니다. 치아에 금이 갓거나 그런경우에는 크라운 치료를 하긴합니다.

  • 탈퇴한 사용자
    탈퇴한 사용자

    안녕하세요. 장인아 치과위생사입니다.

    치과 마다, 담당 의사 선생님 마다 진단, 치료의 차이는 있을수 있습니다.

    치과의사 선생님의 경험에 따라 달라질수 있고, 가치관에 따라서 판단이 달라질수 있습니다.

    진단을 받을때는 여러곳의 치과를 방문 합니다.

    치료비용, 치료방법 등을 확인 합니다.

    믿을만한 지인의 소개로 검진받고 치료합니다.

    도움이 되기를 바랍니다. 건강하세요.