아핫뉴스실시간 인기검색어
아핫뉴스 화산 이미지
화산 아이콘 11
김해 공장 화재 발생
많이 본
아하

의료상담

치과

우주달나라
우주달나라

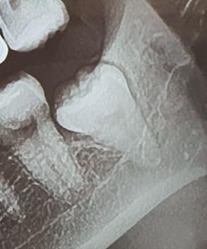
안 올라온 사랑니 발치해야하나요??

사랑니가 저상태인데 발치해야하나요?

더이상 올라오진 않는건지 1년동안 그대로인데..

한번씩 잇몸이 붓고 아프다가 가라앉고를

반복하는데 병원가야하나요..

  • 1번 째 사진
4개의 답변이 있어요!
  • 안녕하세요. 김지훈 치과의사입니다.

    해당 사랑니로 인해서 한번씩 붓고 통증이 있는 경우라면 사랑니를 발치 하시는 것이 좋겠습니다.

  • 안녕하세요. 안상우 치과의사입니다.

    사랑니가 잇몸 안에 있고 문제를 발생시키지 않는다면 발치를 하지 않아도 됩니다. 크게 문제가 되진 않을 것으로 생각되나 자세한 확인을 위해서 치과에서 진료를 받아보는 것을 권유드립니다.

  • 안녕하세요. 김철진 치과의사입니다.

    별 문제가 없다면 그냥 두셔도 되지만 반복적으로 염증이 생긴다면 발치를 하시는걸 추천드립니다.

  • 안녕하세요. 최석민 치과의사입니다.

    해당치아는 완전 매복 사랑니이고 크게 불편함이 없다면 그냥 두어도 되지만 잇몸 염증을 유발한다면 발치를 고려해보세요