의료상담
레진 씌운 곳 5년이 지났는데 너무 아파요
성별
남성
나이대
27
레진 씌우고 5년간 호전없이 찬거먹을때 이가 조금씩 시렸는데,
최근 그 부위에 이에 통증이 심해졌습니다
가만히 있어도 아픈 수준이네요
병원에 방문하였는데도 이상이없다고 합니다
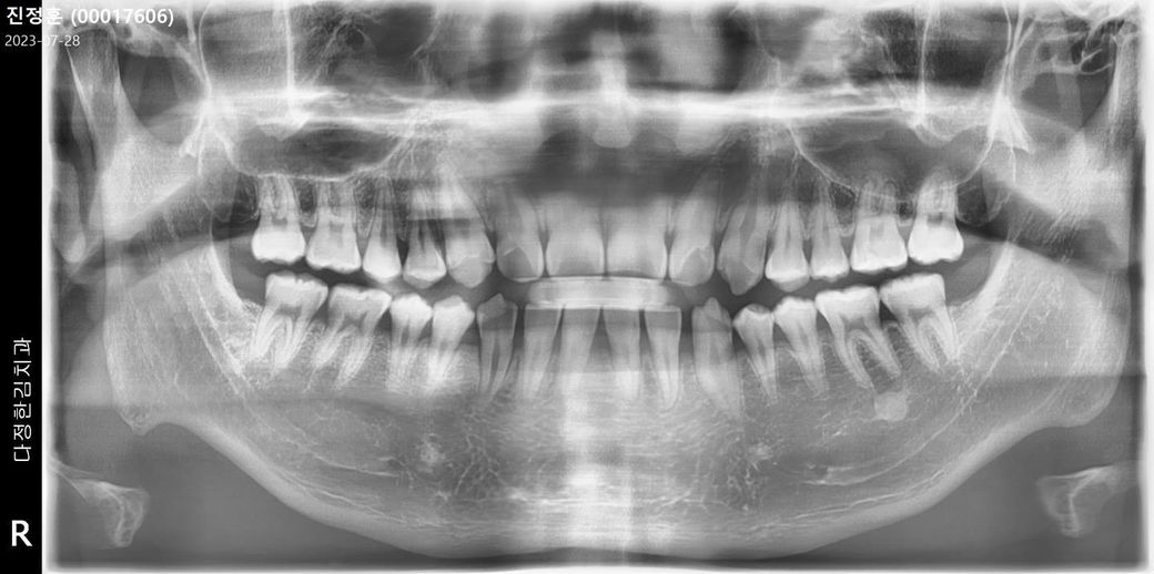
왼쪽 상단 2번쨰 어금니입니다
첨부사진은 지난주 엑스레이 사진입니다
55글자 더 채워주세요.
1개의 답변이 있어요!
안녕하세요. 아하(Aha) 의료분야 답변자 외과 전문의 배병제입니다.
치아 통증에 대한 질문이신 것 같습니다. 말씀하신 부분은 치과 카테고리에 작성해보시는 것이 도움이 되겠습니다.
저의 답변이 도움이 되셨길 바랍니다.

