아핫뉴스실시간 인기검색어
아핫뉴스 화산 이미지
화산 아이콘 11
윤석화, 69세로 별세
많이 본
아하

의료상담

치과

도도한숲새231
도도한숲새231

치아가 아픈데 이상이 없는걸까요??

레진 씌우고 5년간 호전없이 찬거먹을때 이가 조금씩 시렸는데,

최근 그 부위에 이에 통증이 심해졌습니다

가만히 있어도 아픈 수준이네요

병원에 방문하였는데도 이상이없다고 합니다

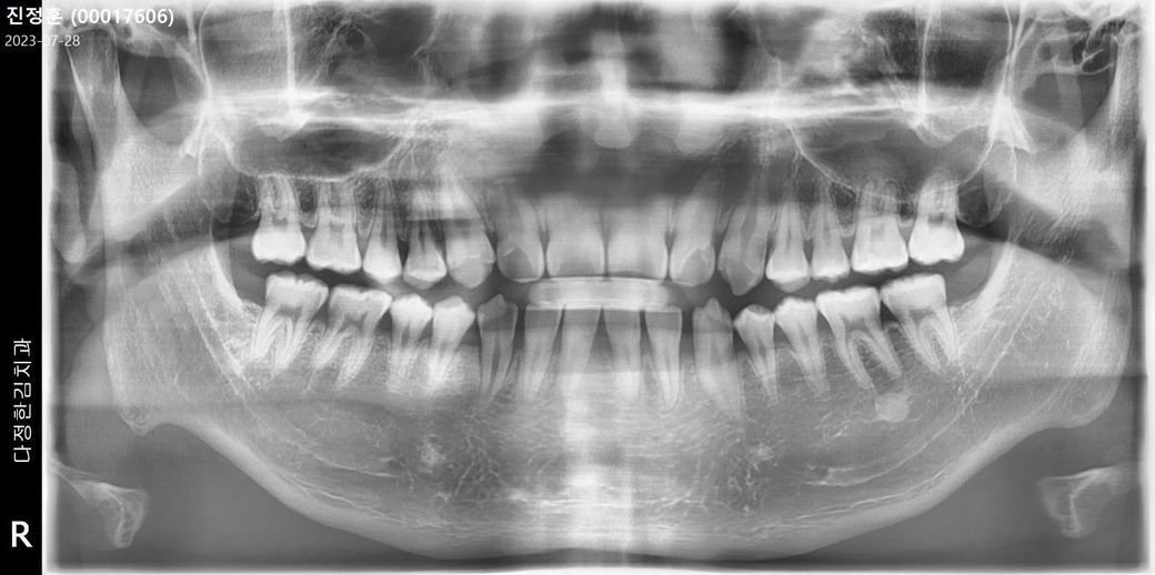
왼쪽 상단 2번쨰 어금니입니다

첨부사진은 지난주 엑스레이 사진입니다

  • 1번 째 사진
3개의 답변이 있어요!
  • 안녕하세요. 안상우 치과의사입니다.

    이상이 없음에도불구하고 통증이 .있다면 치아에 힘이 많.이 가해지고 있는 지확인을 해보는것이 좋습니다.

    평소에 이 악물기 습관이나 이갈이가 있어서 치아에 비정상.적인힘이 많이 가해진다면 치아가 아프거나 할수 있습니다.

    힘때문에 생기는 통증은 치아에 가해지는 힘이 줄어들.면 괜찮아 지는경우가 많습니다.

  • 안녕하세요. 김철진 치과의사입니다.

    엑스레이 상으로 보면 잇몸도 안좋으신거 같고 치아에 충치가 생긴것처럼 보이기도 합니다. 시린증상이 심하시다면 치료를 받으셔야될것같습니다.

  • 안녕하세요. 송우식 치과의사입니다.

    현재 엑스레이상으로는 이상이 확인이 되지는 않으며, 치아에 통증이 심한 경우레진안쪽으로 충치가 발생하였을 가능성이 있기에 다시 치과를 방문하여 진료를 받길 권합니다.

    궁금증 해소에 도움이 되시길 바라며, 도움이 되신 경우 ‘추천’ 부탁드립니다. 감사합니다.