아하
  • 토픽

  • 스파링

  • 잉크

  • 미션


의료상담

강렬한두더지73

강렬한두더지73

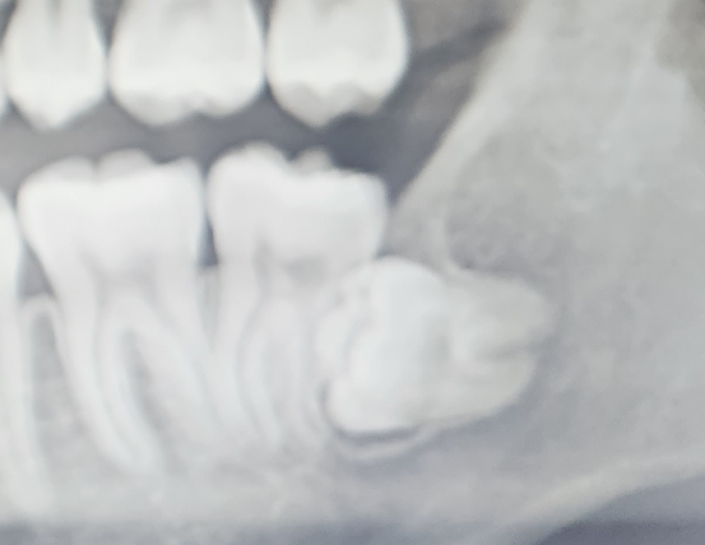
수평매복사랑니 현재 발치해야 하나요?

안녕하세요. 현 상태에서 수평매복사랑니를 발치해야 하는지 고민이 있어요.

현재 앞어금니 뿌리를 건드려서 어금니 뿌리가 꺾여있는 상태이고, 발치하게 되면 어금니가 흔들릴 수 있는 얘기를 들었어요.


아직 어금니 주변이 붓거나 아프진 않아요.

걱정되는 건 1) 어금니 치근흡수 사례를 들어서 상태가 악화돼서 치근흡수 가능성이 어느 정도 있는지 궁금합니다.

아니면, 올해 만 19인데 2) 누워있는 사랑니가 다시 세워질 가능성도 있는지 궁금합니다.


1번과 2번 상황에서 어느 것이 나중에 될 가능성이 있는지, 각각의 상황이 일어나면 어떤 조치를 취해야 하는지 전문가의 고견을 듣고 싶어요.

감사합니다.






  • 1번 째 사진

5개의 답변이 있어요!

  • 김지훈 치과의사

    김지훈 치과의사

    메가

    안녕하세요. 김지훈 치과의사입니다.

    가능성이 몇퍼다 라고 말을 할수는 없습니다. 다시 세워지기는 힘들며 부작용을 감수하고 뽑는게 좋아보입니다.

  • 안녕하세요. 안상우 치과의사입니다.

    사랑니가 똑바로 올라올 가능성은 거의 없습니다.

    사랑니가 앞의 치아 뿌리에 닿아 있기는 하지만 흡수를 하고 있는것처럼 보이지는 않아요.

    앞의 치아에 문제를 발생시킬 위험이 있다면 발치를 해주는것이 좋습니다.

  • 안녕하세요. 송우식 치과의사입니다.

    현재 상태에서는 1번의 가능성이 높으며, 방치시에 앞 사랑니의 손상도가 더 크게 되기에 두개의 치아를 모두 발치해야하는 경우가 생기게 됩니다. 따라서 빠른시일내에 매복 사랑니 발치를 권하며, 숙련된 구강외과전문의에게 치료를 받길 권합니다.

    궁금증 해소에 도움이 되시길 바라며, 도움이 되신 경우 ‘추천’ 부탁드립니다. 감사합니다.

  • 안녕하세요. 김철진 치과의사입니다.

    1) 어금니 치근흡수 사례를 들어서 상태가 악화돼서 치근흡수 가능성이 어느 정도 있는지 궁금합니다.

    -저정도 깊이라면 특별한 이유가 없다면 발치를 하지 않을것같습니다.

    아니면, 올해 만 19인데

    2) 누워있는 사랑니가 다시 세워질 가능성도 있는지 궁금합니다.

    -다시 세월질 가능성은 없습니다.

  • 안녕하세요. 최석민 치과의사입니다.

    1. 앞 어금이 뿌리흡수는 사랑니 머리가 닿아있어 이미 진행되고 있을 가능성이 높습니다

    2. 맹출력이 남아있다하더라도 머리가 걸려있기(locking) 때문에 이 상태에서 더 나오지는 않겠습니다

    현재 상태로 봐서는 신경관과의 거리도 근접해 있기 때문에 ct를 찍어봐야하고 온전히 뽑기 어려운 케이스 일수도 있습니다 뿌리를 뼈 속에 조금 남기고 앞 어금니를 밀고 있는 머리만 뽑을수도 있습니다

    완전매복이기 때문에 현상태로 두면 잇몸이 붓거나 염증이 생길 확률 또는 아플확률은 높지는 않습니다 다만 옆 어금니 뿌리흡수는 진행될 확률이 높습니다