아핫뉴스실시간 인기검색어
아핫뉴스 화산 이미지
아하

의료상담

정형외과

되알진상사조193
되알진상사조193

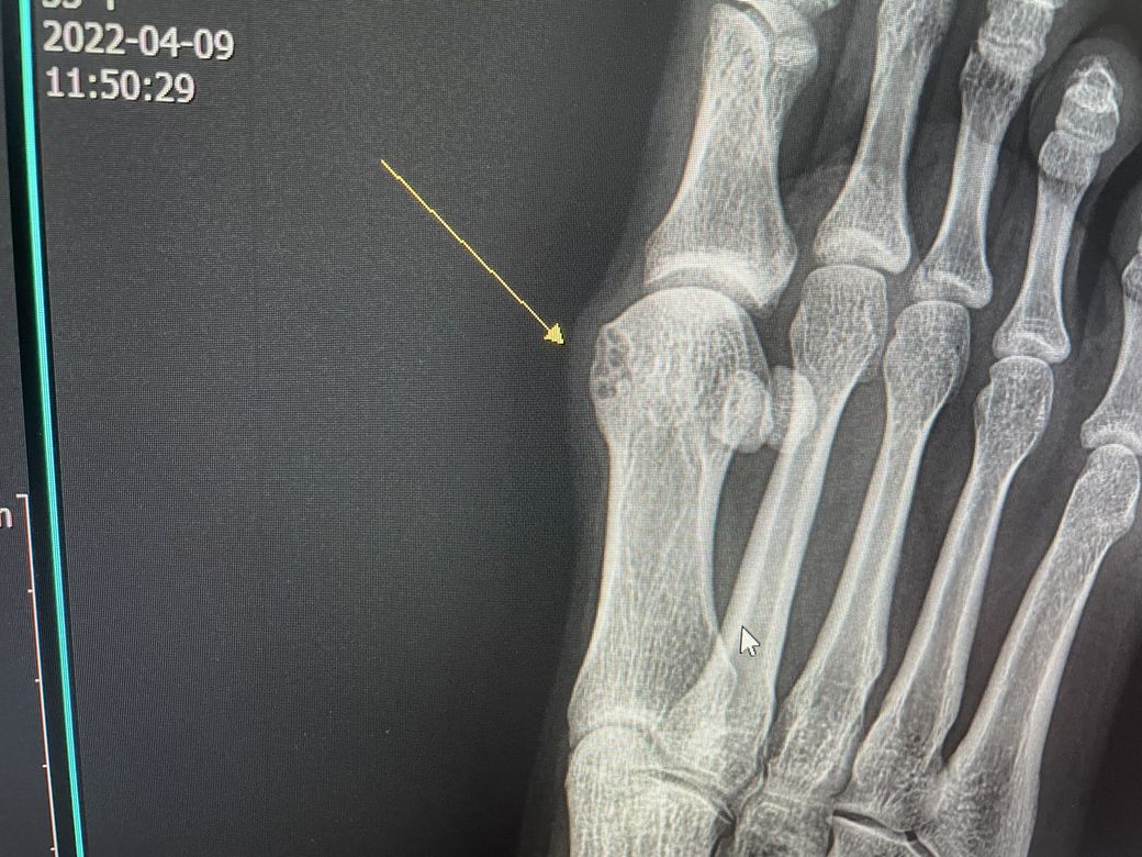
ct상에 뼈에 구멍이 난것처럼 나왔습니다 왜그런걸까요?

통증이 있어 ct를 찍어봤더니 뼈에 구멍이 난 것 처럼 나왔습니다. 자세한건 mri를 찍어봐야한다고 들었습니다.왜 저렇게 구멍이 난것처럼 나온걸까요 .. 어떤증상인지 궁금합니다! mri를 찍어봐야 알 수있는걸까요?

  • 1번 째 사진
5개의 답변이 있어요!
  • 1. 올리신 사진은 CT 사진이 아닌 x-ray 검사 사진입니다.

    2. 엑스레이 소견만으로는 구체적으로 해당 소견이 무엇 때문인지 파악하기 어렵습니다.

    3. MRI 등의 정밀 검사를 해 보아야만 더 자세히 알 수 있을 것으로 보입니다.

  • 안녕하세요.

    발가락 엑스레이로만 봤을 때는 구두나 발볼이 좁은 신발을 신으면서 발생하는

    무지외반증으로 인해 엄지발가락 바깥 부분 뼈에 변화가 온 것으로 보입니다.

    평소에 굽이 높은 구두를 신거나 발볼이 좁아 엄지 발가락이 안쪽으로 휘어져 있는

    지를 보시기 바라며 무지외반증은 교정 수술을 하기도 하지만 특별한 증상이 없다면

    더 악화를 막기 위해 발볼이 높은 신발을 착용하는 것이 좋을 것으로 보입니다.

  • 안녕하세요 아하(Aha) 의료, 코로나 카테고리에서 활동중인 전문의입니다.

    상기 방사선은 구멍이 난 것이 아닙니다.

    3차원의 사진을 2차원으로 표현해서 그렇게 보이는 것이지 구멍이 난 소견이 아닙니다.

    참조하시어 도움이 되기를 바랍니다.

     

  • 안녕하세요. 김경태 의사입니다.

    통풍이 있는경우 해당 소견과 비슷한 모습이 보이기도 합니다.

    질문 내용만으로는 정확한 진단을 내릴수가 없습니다. 진단에는 신체진찰, 각종 검사들이 필요합니다.

    이를 위해서 가까운 의원 혹은 병원 내원하시기 바랍니다.

  • 안녕하세요. 노용성 의사입니다.

    구멍이 난건지 파인건지 골융해가 일어난건지는 잘모르겠습니다.

    그쪽이 외부랑 가장 가까운부분이니까 자주 충격을 받아 변형되었을수도있고요

    그냥 모양이 그렇게 생겼을수도 있고 염증이 생겨서 골수가 부었을수도 있습니다.