아하
  • 토픽

  • 스파링

  • 잉크

  • 미션


의료상담

온화한도롱이74

온화한도롱이74

24.05.31

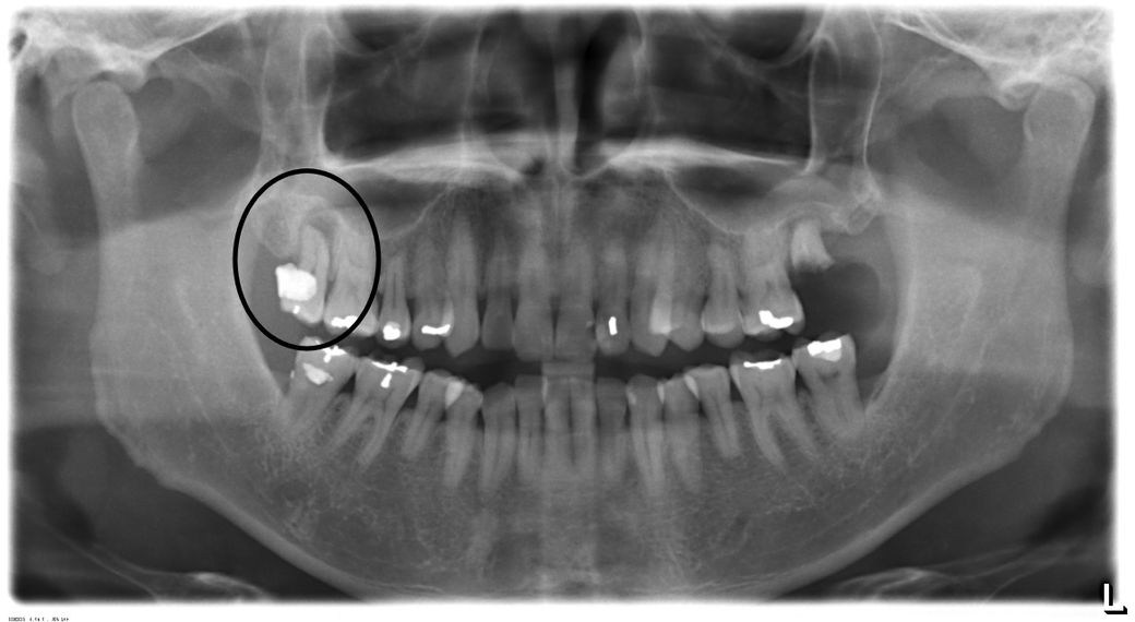
사진 속 원 안의 치아를 꼭 빼야 할까요?

왼쪽 어금니가 부러져 치과에 갔다가 오른쪽 어금니도 뽑아야 한다는 말을 들었습니다.

전혀 아프지도 아무런 증상도 없는데 꼭 뽑아야 하나요?

혹시 잇몸치료로는 안 될까요?

  • 1번 째 사진

5개의 답변이 있어요!

  • 김지훈 치과의사

    김지훈 치과의사

    메가

    24.06.01

    치아를 받치고 있는 잇몸뼈가 완전히 녹아있는 상태로 보이며 살릴 수 없다고 판단됩니다.

    여러 치과에서 검사 받아보셔도 괜찮습니다.

  • 맞습니다. 해당 치아는 이미 뿌리까지 염증이 있어 다른 x-ray 사진을 찍지 않더라도 발치를 반드시 해야 하는 치아입니다. 계속해서 방치하면 광대뼈까지 염증이 나타날 가능성이 높습니다.

    아무쪼록 저의 답변이 문제 해결에 작게 나마 도움이 될 수 있기를 기원드립니다. 항상 건강하고, 행복하세요^^

    정진석 치과의사 드림

  • 사진으로 봤을 경우에는 신경관 내부에 감염으로 인해서 뿌리 쪽에 큰 염증이 생긴 것으로 보입니다 치아가 아프거나 흔들림이 심하다면 발치를 해야 할 수 있습니다 뿌리 쪽에 생긴 염증은 신경관이 감염이 되어서 생겨서 가능성이 높기 때문에 신경치료를 시도해 본다면 치아를 살려서 사용할수도 있습니다 자세한 확인을 위해서 치과에서 진료를 받아 보는 것을 권유드립니다

  • 안녕하세요 치과의사 김철진입니다. 치아 뿌리끝에 염증이 심한거 같습니다. 치아가 많이 흔들릴것같은데 발치를 하셔야될것같습니다.

  • 사진상 치아의 경우 주변 뼈가 다 녹아서 치아 수직 동요도가 있을 정도 같습니다 이정도면 잇몸치료는 무의미할것 같습니다

    다만 특별히 불편한점이 없다면 그냥 쓸때까지 쓰고 빼시면 되겠습니다