아핫뉴스실시간 인기검색어
아핫뉴스 화산 이미지
화산 아이콘 11
'미스트롯4' 오디션
많이 본
아하

의료상담

치과

비상하는 올빼미862
비상하는 올빼미862

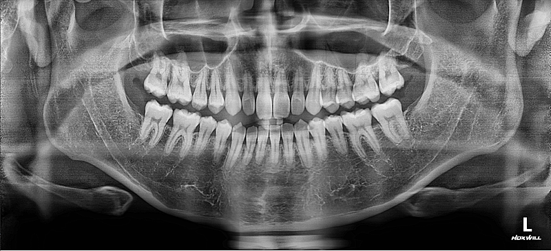
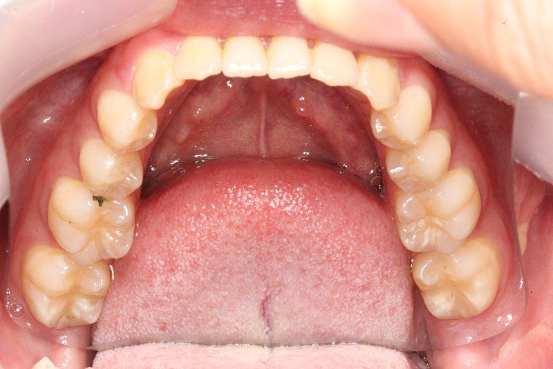
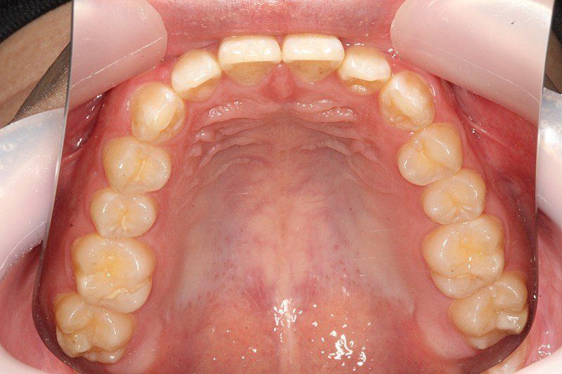
투명교정으로 치아교정 효과 볼수있을까요?

약간 비대칭이 있긴한데... 치아중심선 맞추기랑 앞니 부분적으로 절단교합이 있어서 교정할려고 해요

앞니 치근문제가 있어서 발치를 하든 과하게는 교정은 못한다고 해요

인비절라인으로 하면 1년 정도면 된다고 하는데 투명교정 하게되면 치아중심선이랑 12번치아 앞니 교합 교정, 전체적 치아가 살짝 틀어진거 교정 효과 볼 수 있을까요?

그게 힘들면 앞니 부분교정만 할생각입니다

  • 1번 째 사진
  • 2번 째 사진
  • 3번 째 사진
  • 4번 째 사진
  • 5번 째 사진
  • 6번 째 사진
  • 7번 째 사진
1개의 답변이 있어요!
  • 안녕하세요. 정진석 치과의사입니다.

    현재 정도로는 교정을 권하지 않는 치과의사분들도 있습니다. 모든 사람이 완벽하게 아래, 위 치아가 대칭이지 않습니다. 어느정도 정상 범주에서 벗어날 수 있는 범위로 보여지며 현재 치열에서 인비절라인을 한다고 해서 질문자님이 원하시는 효과를 기대하기는 사실상 많이 힘듭니다. 불편감이 크지 않거나 꼭 교정을 해야 하는 이유가 없다면 권해드리지 않습니다.

    아무쪼록 저의 답변이 문제 해결에 작게 나마 도움이 될 수 있기를 기원드립니다. 항상 건강하고, 행복하세요^^

    정진석 치과의사 드림