아하
  • 토픽

  • 스파링

  • 잉크

  • 미션


의료상담

깔끔한가오리124

깔끔한가오리124

26.01.15

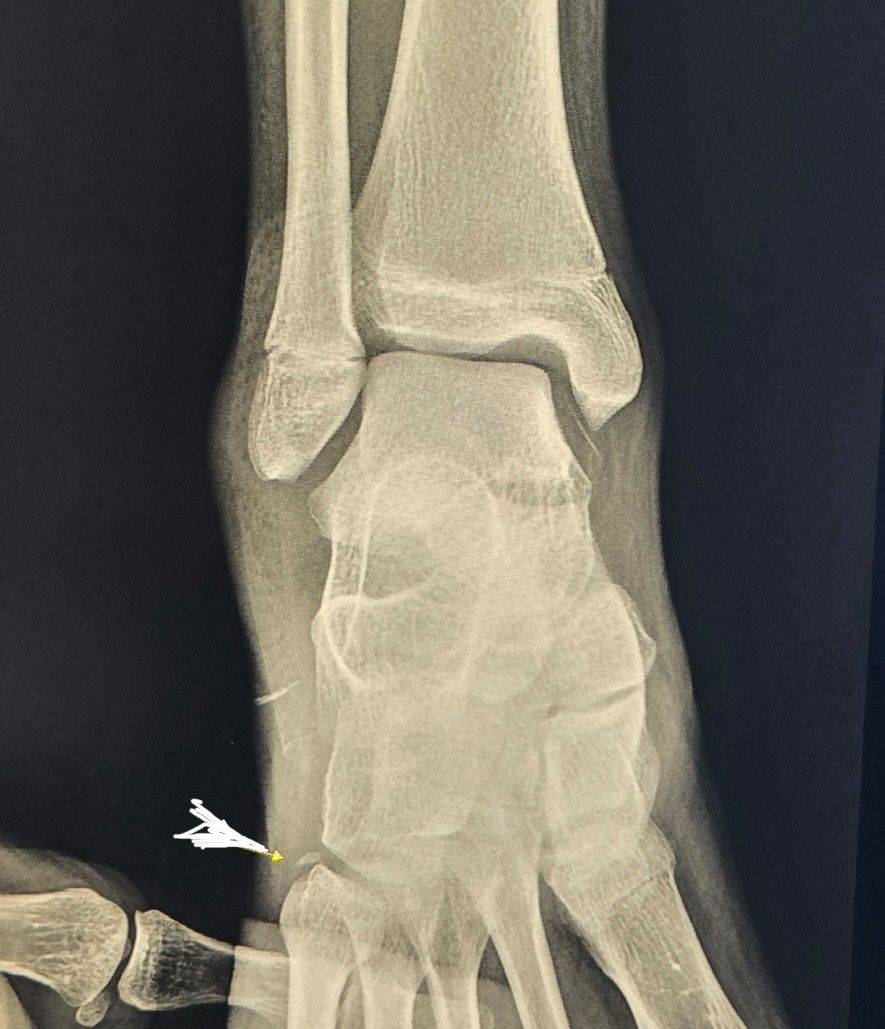
학교에서 운동하다가 발가락뼈 미세골절

성별

남성

나이대

10대

아이가 운동하다가 착지할때 발을 헛딛어서 발등뼈와 연결된 새끼발가락 끝쪽을 다쳤어요. 끝쪽뼈가 손톱 반만하게 떨어져나가 조금 떨어진 자리에 있는데 별다른 조치없이도 시간이 지나면 제자리 찾아 붙을까요? 병원에서는 지켜보자 했는데 이런경우 제자리를 찾아 정확히 붙는지 아니면 다른 치료법을 찾아봐야하는지 궁금합니다

  • 1번 째 사진

8개의 답변이 있어요!

  • 김경태 의사

    김경태 의사

    에스병원

    26.01.15

    안녕하세요. 김경태 의사입니다.

    제자리로 가서 붙진않고 흡수가 되거나 저 뼈가 그대로 남아서 조각화됩니다. 추후 통증을 유발하지 않는다면 큰 문제가 되진않는게 대부분입니다.

  • 안녕하세요. 김강록 물리치료사입니다.

    우선 현재로썬 현 병원 전문의에 소견은 경과를 지켜보자 하시는것 같습니다.

    보통 골절은 수술적으로 고정을 하거나, 비수술 치료로 진통제 복용을 하면서 깁스 처리 후 최대한 고정을 하면서 경과를 지켜보는 경우가 있습니다.

    현 병원 전문의에 처방은 틀린건 아니지만 혹시나 불안하시다면 다른 정형외과에도 내원하셔서 전문의에 소견을 들어보시고 수술적 치료 또는 비수술 치료를 선택해보시길 바랍니다.

    당분간은 최대한 해당 부위에 자극을 주거나 움직이는건 피하시고 고정된 상태로 유지하셔야 합니다^^

  • 안녕하세요. 송진희 물리치료사입니다.

    끝쪽 뼈가 “떨어져서 위치가 어긋난 상태”라면, 그냥 두면 저절로 제자리로 “찾아가서” 붙는 경우는 드뭅니다.

    아이들은 뼈 회복이 빠르긴 하지만, “정렬이 맞지 않으면 틀어진 채로 붙을 수“ 있어요.

    그래서 보통은 깁스나 테이핑으로 ”위치를 잡아 고정“하는지 여부가 중요합니다.

    통증.부종이 계속되거나 모양이 이상해지면, 소아정형외과에서 “정렬 상태를 다시 확인”해보는 게 좋아요.

    자세한 건 병원에 전문의 상담을 받아보시기를 바랍니다. 

    감사합니다~^^

  • 안녕하세요. 조현배 물리치료사입니다.

    뼛조각이 자리 잡지 못하고 보행시나 일상생활에 불편함을 주는 상태가 된다면 그때 제거하는것을 고려해 보시면 되겠습니다

    병원 의견대로 당분간은 지켜보시고 추후 대응하셔야될거 같습니다

  • 안녕하세요. 이동진 물리치료사입니다.

    자녀분의 발가락 골절로 불변이 있으시군요.

    골절로 인하여 떨어져 나간 뼈조각의 크기가 큰것은 주변 뼈와 붙거나 아주 작은 뼈조각은 시간이 지나면서 대식세포에 의해 흡수되어 제거 될 수 있을 것입니다.

    담당의사선생님께서 지켜보자고 하셨다면 진행과정을 함께 지켜보셔도 될것 같습니다.

    자녀분이 빠른 쾌유하시길 바라며 답변이 도움이 되었으면 좋겠습니다.

  • 안녕하세요. 김현태 물리치료사입니다.

    현재상황은 뼈조각이 크게 어긋나지 않아, 시간이 경과하며 자연스럽게 아물 가능성도 있으므로 경과를 관찰하자는 소견을 들으신 것으로 생각됩니다.

    다만, 제자리를 칮아간다는 것 보다는 현재위치에서 유합이 일어나 적응하는 것으로 이해를 해주시는 것이 좋겠고, 걷기 힘들어 지거나 통증을 호소하는 경우에는 추가적인 진료를 받아보시면 좋겠습니다.

  • 안녕하세요. 김의균 물리치료사입니다.

    떨어져 보이는 발가락 끝쪽 뼈가 저절로 제자리로 찾아 정확히 붙는 경우는 거의 드물며 전위의 정도에 따라서 보존적치료 혹은 정복 치료가 고려될 수 있고 관절을 침범했는지 여부 또한 중요하며 수술할 정도가 아니라고 판단되어 일단 지켜보자고 말한 것으로 보입니다.

    감사합니다 수고하세요~

  • 안녕하세요. 서민석 의사입니다.

    뼈가 부러졌다기보다는 뜯겨져 나간 상태라서 수술로 붙이기보다는 지켜보면서 저절로 붙는 것을 기다려 봐도 되는 병변으로 생각됩니다.