아하
  • 토픽

  • 스파링

  • 잉크

  • 미션


의료상담

로맨틱한바다표범198

로맨틱한바다표범198

23.12.11

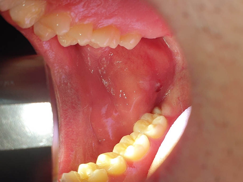
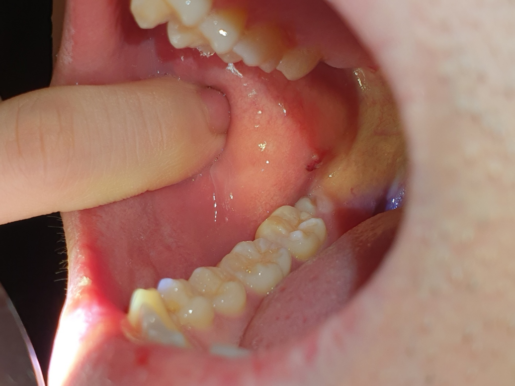
입안 볼쪽에 검은색 덩어리가 잡혀요






구강암 증상인가요? 1년 전부터 있었던 거 같아요

통증은 그렇게 있는 편은 아닌데 언제부턴가 이물감이 들고

혓바닥으로 만져져서 신경이 쓰이네요 ㅜㅜ


  • 1번 째 사진
  • 2번 째 사진
  • 3번 째 사진

2개의 답변이 있어요!

  • 김철진 치과의사

    김철진 치과의사

    가까운우리치과

    23.12.12

    안녕하세요. 김철진 치과의사입니다.

    저부위는 볼살이 튀어 나와서 위아래 치아에 씹혀서 자꾸 생기는거 같습니다. 크게 문제가 잇는건 아닙니다.

  • 안녕하세요. 안상우 치과의사입니다.

    사진으로만 봤을 경우에는 혈종으로 보입니다 혈종은 구강 점막이 자극이 되어 내부에 출혈이 된 형태를 의미하는데 치아를 너무 강하게 물거나 하면 근육이 볼을 밀면서 마찰열로 인해서 혈종이 생기는 경우가 있습니다 혈종이 생기는 것을 방지하기 위해선 치아를 사용할 때 너무 큰 힘을 주지 않는 것이 좋으며 너무 딱딱하지 않은 음식을 먹는 것이 좋습니다.

    자세한 확인을 위해서 치과에서 진료를 받아 보는 것을 권유 드립니다.