아핫뉴스실시간 인기검색어
아핫뉴스 화산 이미지
아하

의료상담

치과

머쓱한낙타27
머쓱한낙타27

신경치료 후 사랑니 발치 질문 (어려운 사랑니인가요??)

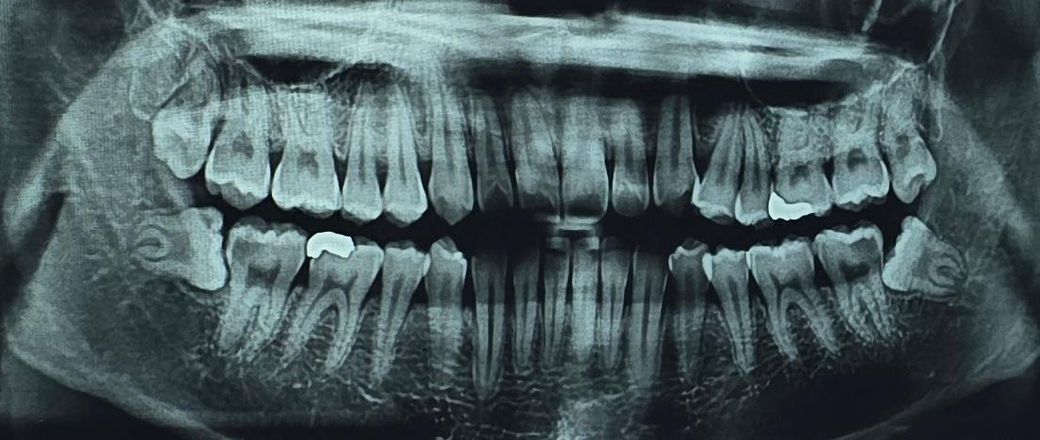
아래 양 쪽 모두 한쪽은 신경치료, 한쪽은 충치치료를 먼저 받고 사랑니 발치를 하자고 하셨는데, 발치할 때 신경치료한 부분에 문제는 없겠죠..??

그리고 누워있는 매복 사랑니는 뺄 때 힘들다고 하는데, 통증이 심하다거나 빼는 과정이 어려운 사랑니인지 궁금합니다..! 20대 초반이고 겁쟁이라서 질문드려요..감사합니다

  • 1번 째 사진
55글자 더 채워주세요.
4개의 답변이 있어요!
  • 안녕하세요. 김철진 치과의사입니다.

    쉬운 발치는 아니지만 그렇다고 엄청 어려운 발치는 아닐것같습니다. 20대 초반이시라면 사랑니 전문 치과에 가시면 쉽게 발치해줄것같습니다.

  • 안녕하세요. 안상우 치과의사입니다.

    사랑니가 기울어져 나있고 뿌리가 휘어져 있어. 발치를 하는 과정이 힘들 수도 있습니다. 하지만 20대라면 뼈가 단단한 편이 아니기 때문에 사랑니가 나오는데 수월할 수 있습니다. 사랑니를 발치하고 신경치료를 하는 치료는 어려운 치료는 아닙니다.

  • 안녕하세요. 최석민 치과의사입니다.

    신경과 가깝고 옆 어금니와 겹쳐 있어서 주의할 필요는 있으나 다행히 뿌리가 안쪽으로 수렴하는 형태이고, 아직 20대라 젊어서 아주 어려운 케이스는 아닐 것 같습니다. 발치 시 마취만 잘되면 통증 없습니다.

  • 안녕하세요. 김지훈 치과의사입니다.

    사랑니는 누워있는 각도가 큰 편이라 난이도 또한 높은 편입니다. 구강외과 전문의한테 뽑는 게 좋아보입니다.

PC용 아하 앱 설치 권유 팝업 이미지장도연이 추천하는 아하! 앱으로 편리하게 사용해 보세요.
starbucks
앱 설치하고 미션 완료하면 커피 기프티콘을 드려요!