의료상담
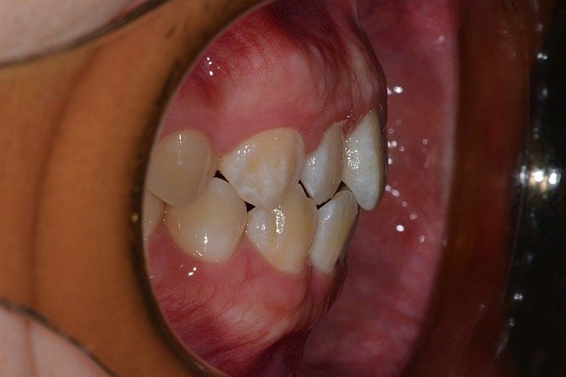
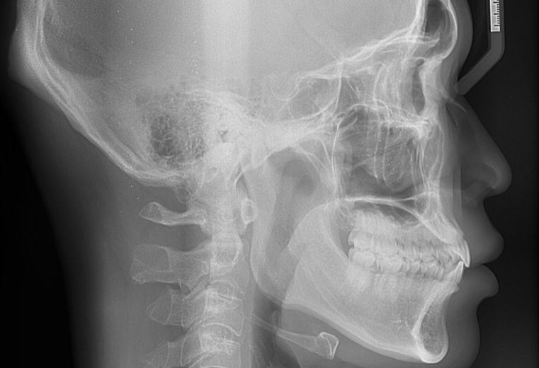
치아각도나 치축의 각도가 정삼범위가 맞을까요?
현재 치아각도나 치축의 각도가 정상범위에 있는지 알고 싶어서 질문 작성했습니다
아랫치아 잇몸이 볼록 나와보이는 것 같아보입니다
---------------------
55글자 더 채워주세요.
2개의 답변이 있어요!
안녕하세요. 정진석 치과의사입니다.
보이는 부분에 있어서는 정상각도에서 크게 벗어나지는 않으나 이는 전방위적인 평가 및 골격과 함께 평가를 해보아야 합니다. 지금 상태로 보았을 때는 교정을 해서 치축을 돌려야할 만큼의 문제는 아니며 일반 사람들이라면 평생 교정을 하지 않고 살아가는 분들도 많습니다.
아무쪼록 저의 답변이 문제 해결에 작게 나마 도움이 될 수 있기를 기원드립니다. 항상 건강하고, 행복하세요^^
정진석 치과의사 드림
안녕하세요. 박종열 치과의사입니다.
단순 임상사진과 cephalo만 봐서는 정확히는 알 수 없으나 교정치과에서 제대로 한 치료라면 문제 없을 것으로 사료됩니다.
자세한 진단을 원하면 다른 치과에 가셔서 교정 진단 받아보시길 추천드립니다.

