아하
  • 토픽

  • 스파링

  • 잉크

  • 미션


의료상담

대찬애벌레264

대찬애벌레264

위염 때문에 조직검사를 받은걸까요?

성별

여성

나이대

29

기저질환

없음

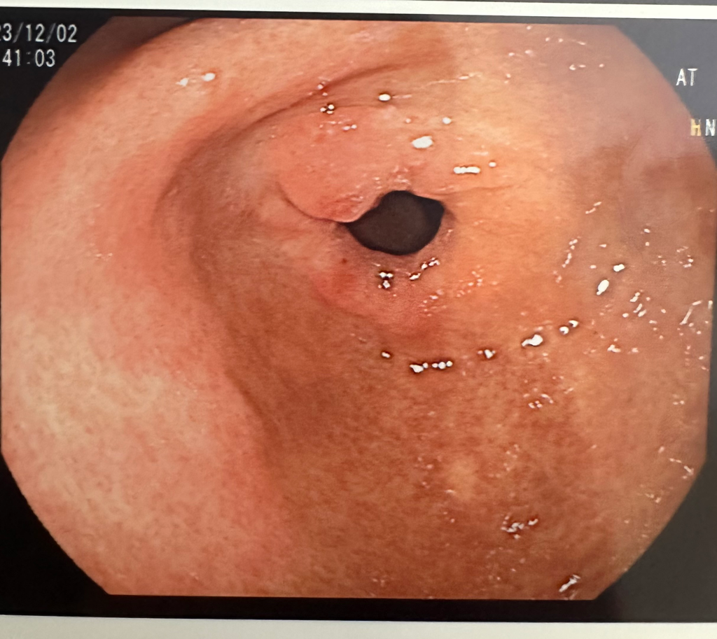
어제 위 내시경을 받았는데 불룩한게 있어서 조직검사를 했다고 하시더라구요. 살짝 까진 거 제외하곤 깨끗하다고 하셨는데 저 불룩한것도 단순 염증인걸까요?ㅠㅠ



  • 1번 째 사진

1개의 답변이 있어요!

  • 최성훈 내과 전문의

    최성훈 내과 전문의

    고려병원

    안녕하세요. 최성훈 의사입니다.

    관찰 소견이 기술된 판독지가 없어서 답변 드리기 어렵습니다. 정지 사진 1장만으로는 잘못된 정보를 드릴수 있기 때문입니다. 걱정되는 마음은 이해되지만 조직검사 결과를 확인하시기 바랍니다.