아하
  • 토픽

  • 스파링

  • 잉크

  • 미션


법률

강직한가오리183

강직한가오리183

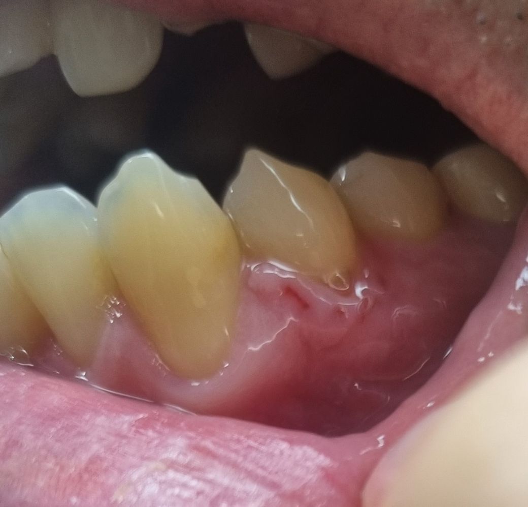
임플란트 본뜨러갔다가 잇몸에 상처가 났는데 보상 어떻게 받나요?

좀 어이가 없는데 ....

어제 치과에서 오른쪽 위쪽 작은어금니 임플란트 본을 뜨는데 아랫니는 전체적으로 본을 뜨더니 양치할때 자꾸 아파서 지금보니 왼쪽 아래 송곳니 주변 잇몸이 뭔가에 찍혀 상처가 났습니다... 3~4개고요...

임플란트 부위와는 완전 반대편인데 이쪽까지 왜 본뜬건지도 모르겠고,

본 뜨는데 이렇게 상처 내놨다는게 어이가 없네요...

어떻게 대응해야 할까요?

1개의 답변이 있어요!

  • 이성재 변호사

    이성재 변호사

    LEE&Co 법률사무소

    안녕하세요. 이성재 변호사입니다.

    우선 환부의 빠른 쾌유를 기원합니다.

    아직은 정확한 원인을 알지는 못하는 점에서 해당 부분에 대한 치료 등을 치과의원과 협의를 우선 해보시는 것이 필요해보입니다.