아하
  • 토픽

  • 스파링

  • 잉크

  • 미션


의료상담

색다른검은꼬리95

색다른검은꼬리95

위에 양쪽 작은어금니뽑고임플란트해야하나요??


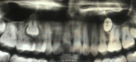
어릴때 작은어금니가 안나서 그냥 없는가보다 하고 지냈는데 치과에 가서 사진을 찍으니 저렇게 숨어있더라고요ㅠㅠㅠㅠ 왼쪽은 옆치아 뿌리도 많이 상한거같은데??

3개 다 뽑아야하는 상황인가요?? 아프지는 않아요



  • 1번 째 사진

4개의 답변이 있어요!

  • 김철진 치과의사

    김철진 치과의사

    가까운우리치과

    안녕하세요. 김철진 치과의사입니다.

    일단은 크게 불편하거나 문제가 없다면 저상태로 그냥 지내셔도 될것같습니다 추후에 문제가 생기면 그때는 매복치랑 같이 뽑으셔야될것같습니다 왼쪽은 큰문제는 없지만 오른쪽은 추후에 문제가 생기면 같이 발치를 하시면될것같습니다.

  • 안녕하세요. 최석민 치과의사입니다.

    1. 매복치아의 경우 대학병원급에서 발치가 필요합니다

    2. 치열에서 빈공간이 생기는 것은 아니므로 임플란트가 필요하진 않습니다

    3. 오른쪽 정상치아(사진상 왼쪽)의 경우 좀 더 검사를 해보고 추가적으로 처치를 해야합니다

  • 안녕하세요. 안상우 치과의사입니다.

    매복된 치아로 인해서 불편감이 있다면 해당 치아를 뽑고 교정이나 그 외 치료를 계획을 해야지만 불편감이 없다면 그냥 사용을 해도 크게 문제가 되지는 않습니다.

    하지만 치과에서 주기적으로 검진을 받는 것이 좋습니다.

  • 안녕하세요. 정진석 치과의사입니다.

    오른쪽 위에 있는 매복치로 인하여 말씀하신 2개의 치아는 발치해야할 가능성이 큽니다. 다만 왼쪽에 있는 매복치아는 다른 치아와 영향이 있는지에 대해서 dental-ct 등의 촬영이 필요해보입니다. 현재 사진은 3차원을 2차원으로 옮긴 것이므로 왜곡이 존재합니다. 따라서 정확한 판단을 위해서는 ct 촬영이 필요합니다.

    아무쪼록 저의 답변이 문제 해결에 작게 나마 도움이 될 수 있기를 기원드립니다. 항상 건강하고, 행복하세요^^

    정진석 치과의사 드림