아하
  • 토픽

  • 스파링

  • 잉크

  • 미션


의료상담

풋풋한무당벌레288

풋풋한무당벌레288

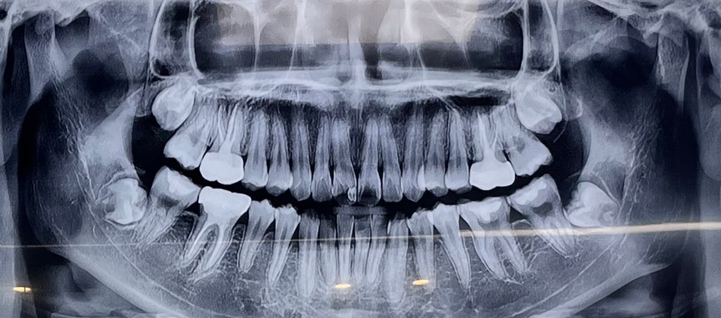
인접면 충치 레진 치료 가능한가요??

매우 초기라고 하셨는데, 치아 하나 당 30만원 내고 인레이는 너무 부담스러워서 레진으로 하고 싶은데 가능할까요? 의사 선생님께 인레이는 싫고, 레진으로 해달라고 하면 레진 치료 해주실까요?

  • 1번 째 사진
  • 2번 째 사진
  • 3번 째 사진

5개의 답변이 있어요!

  • 김지훈 치과의사

    김지훈 치과의사

    메가

    안녕하세요. 김지훈 치과의사입니다.

    레진으로도 치료를 할 수 있으나 치아 사이의 경우에는 인레이를 하는 것이 장기적으로 더 유리한 경우가 많습니다.

  • 안녕하세요. 정진석 치과의사입니다.

    x-ray 사진으로 보았을 때는 인접면 충치 뿐만 아니라 교합면에도 어느정도 충치 및 손상이 있을 것으로 보입니다. 광범위한 수복이 있을 경우에는 레진으로 하는 것이 오히려 치아에 안 좋은 영향을 줄 수 있으므로 인레이 이상의 치료를 권하고 있습니다.

    물론 말씀하신 부분에 대해서는 치과 선생님과 상의를 한 번 해보시는 것을 권해드립니다.

    아무쪼록 저의 답변이 문제 해결에 작게 나마 도움이 될 수 있기를 기원드립니다. 항상 건강하고, 행복하세요^^

    정진석 치과의사 드림

  • 탈퇴한 사용자

    탈퇴한 사용자

    안녕하세요. 김형준 치과의사입니다.


    초기충치의 경우 레진과 인레이가 모두 가능하기는 하나


    환자분 치아는 교합면에 이미 레진치료가 되어 있고 그 경우는 old resin은 제거하는게 원칙입니다.


    따라서 old resin의 경우 어차피 제거해야함으로 그 경우 와동의 모양이 인레이 모양이 될것입니다.


    레진의 경우 비용부담이 적다는 장점은 있지만 인접 부위를 정밀하게 형성하기 힘들고 중합률이 인레이보다 떨어지기 때문에


    치과 선생님께서 인레이을 추천해 주셨다면 선생님 말대로 인레이을 하시는 게 옳습니다.


  • 안녕하세요. 김철진 치과의사입니다.

    레진으로 할수도 있지만 일반적으로 치아 사이에 충치가 생긴경우는 인레이로 하시는걸 추천드립니다.

  • 안녕하세요. 안상우 치과의사입니다.

    사진으로 보이는 충치는 진행이 많이 된것 같아 보이지는 않습니다.

    인접면 충치는 레진으로 직접 충전할경우에는 경계부위가 정확하게 충전이 되지 않을수 있습니다.

    하지만 레진으로 충전을 하지 못하는 것은 아니에요.