아핫뉴스실시간 인기검색어
아핫뉴스 화산 이미지
화산 아이콘 11
강선우 의원 소환 조사
아하

의료상담

이비인후과

우렁찬파카212
우렁찬파카212

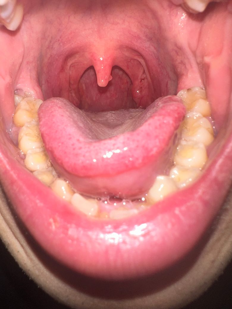
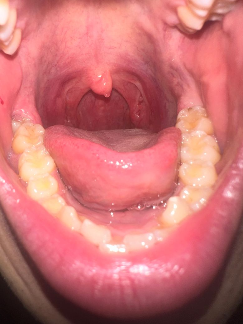
목젖 뒷면 혹이 있어서 확인 부탁드립니다.

성별
남성
나이대
29
복용중인 약
늑간신경통약

올해 1월부터 목젖 뒷면에 혹이 관찰되었습니다.

아래 사진은 지금 사진이고요

점점 위치랑 보이는 면적이 변하는것 같아 문의드립니다.

근처 이비인후과에선 지켜보자고 했는데요.

혹시 큰병일까요?

  • 1번 째 사진
  • 2번 째 사진
  • 3번 째 사진
  • 4번 째 사진
2개의 답변이 있어요!
  • 안녕하세요.

    특이소견은 아닌것으로 보여집니다.

    굳이 지금 치료하지않고 지켜보셔도 될것같습니다.

    신경쓰지말고 지내보세요.

  • 안녕하세요. 최성훈 의사입니다.

    이비인후과 전문의 진찰 후 경과 관찰로 설명을 들었다면 당장 큰 문제는 아니겠으나 추후 변화 확인을 위해 재진료를 받으시기 바랍니다.