아핫뉴스실시간 인기검색어
아핫뉴스 화산 이미지
화산 아이콘 11
이재명 이해찬 조문추서
많이 본
아하

의료상담

이비인후과

총명한검은꼬리111
총명한검은꼬리111

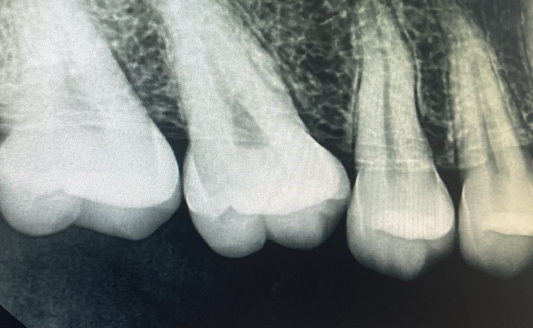
치아가 두동강이 났어요.ㅠㅠ임플란트문의드랴요

작은어금니 두번째깨 위에서 도끼로 내려찍은거마냥 두동강이나서 치료를 해야하는데 임플란트밖에 답이없나요..?ㅠㅠ

모유수유중인데 임플란트치료는 영향이없을까요?

magicore라는 임플란트를 추천받았는데 후기가 많이없어서 괜찮은지모르겠네요..

우선 모유수유중이라 치료할동안 먹일 모유유축해놓고 해야해서 치료를 미루긴했는데 빨리치료하는게 좋겟죠..?

깨진치아가 많이아프거나 하지는 않아요

  • 1번 째 사진
4개의 답변이 있어요!
  • 검붉은강아지135
    검붉은강아지135

    안녕하세요? 아하(Aha) 의료 분야 지식답변자 정진석 의사입니다.
    질문하신 내용에 대하여 아래와 같이 답변 드립니다.

    현재 치아가 금이 간 정도에 따라 다를 수 있습니다. 단순히 치아 머리 수준에서 나타난 크랙이라면 간단한 레진 수복에서 신경치료가 가능하나 뿌리까지 크랙이 파급되었다면 발치 밖에 방법이 없습니다. 따라서 전문가와 상의 후 치료하는 것이 필요하고 임신 초기가 아니라면 임플란트 하는데 큰 문제는 없습니다.

    아무쪼록 저의 답변이 문제 해결에 작게 나마 도움이 될 수 있기를 기원드립니다. 항상 건강하고, 행복하세요^^

    정진석 치과의사 드림

  • 안녕하세요? 아하(Aha) 의료 분야 지식답변자 안상우 치과의사입니다.
    질문하신 내용에 대하여 아래와 같이 답변 드립니다.

    치아의 파절이 크게 일어났다면 엄청난 통증이 유발됩니다.

    통증이 없는 상태라면 파절선이 크지 않을수 있어요. 파절선이 잇몸뼈 위에 까지만 진행이 되어 있다면 치아를 살려서 사용할수 있습니다.

    치과는 여러군데에서 진료를 받아보고 자신에게 잘 맞을것 같은 곳에서 치료를 하는것이 좋습니다.

  • 안녕하세요? 아하(Aha) 의료 분야 지식답변자 이성영 의사입니다.
    질문하신 내용에 대하여 아래와 같이 답변 드립니다.

    모유수유와 임플란트는 큰 연관이 없으나, 임플란트 수술 시 마취를 하기 때문에 마취제가 충분히 분해되기 전에는 모유 수유를 하지 않는 것이 권장됩니다. 만약 수술 후 약을 처방받아 복용하게 된다면 약 복용시 모유 수유를 피하는 것이 좋습니다.

    임플란트는 브랜드가 중요하지 않습니다. 임플란트의 종류마다 그 컨셉에 차이가 있을 뿐, 시술 결과에 큰 영향을 주는 경우는 드묾니다. 환자 구강상태에 맞는 임플란트는 있을지라도 특정 브랜드이기 때문에 좋은 임플란트는 없습니다. 때문에 담당 치과 원장님이 가장 많이 사용해보시고, 숙달된 임플란트가 가장 좋은 임플란트이리라 생각됩니다.

  • 안녕하세요? 아하(Aha) 의료 분야 지식답변자 이정현 의사입니다.
    질문하신 내용에 대하여 아래와 같이 답변 드립니다.

    치아가 두개로 쪼개진경우, 거의 발치를 해야하는경우가 많습니다.

    발치한다면, 임플란트밖에 방법이없습니다.

    모유수유가 임플란트수술이 큰 영향을 주진 않으나, 임플란트가 부담되신다면, 치아먼저 발치하는게 좋습니다. 쪼개진채로 있으면 염증이 크게 생기는 경우가 많기 때문입니다.

    매직코어는 국산임플란트로, 출시된지 오래되진 않았습니다. 치과에서 많이 사용하는 임플란트는 아니지만, 여기에서 추천을 하거나 비추천을 할 수 없는점 양해부탁드립니다.

    답변이 도움이 되길 바랍니다. 감사합니다.