아하
  • 토픽

  • 스파링

  • 잉크

  • 미션


의료상담

공정한치와와252

공정한치와와252

25.03.20

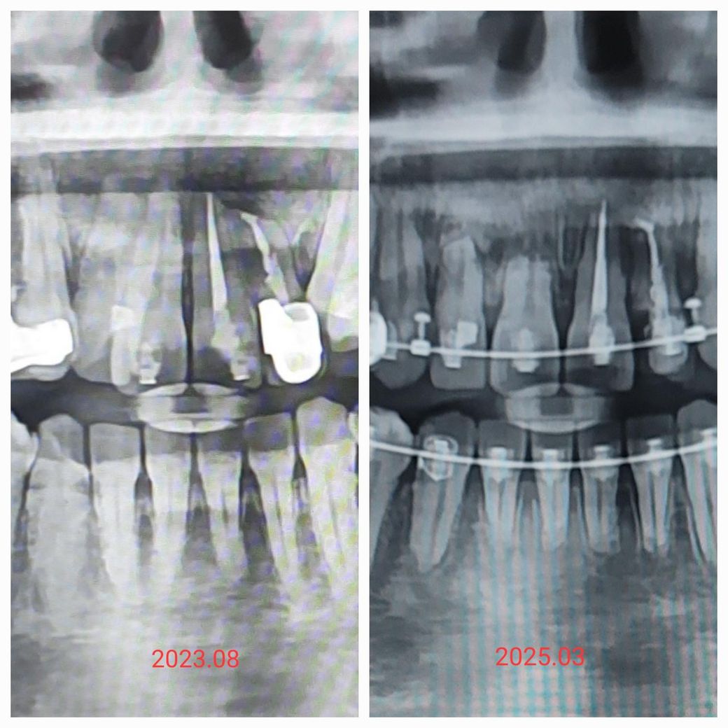
교정중 치근흡수된 위에 앞니 4개치아주변 잇몸에 염증이 심하게 있는건가요? ( 똑같은 질문 올렸었는데 사진첨부를 깜빡하여 다시 올립니다)

23년 6월말에 치근단낭종으로 뼈가 많이 녹아있었고 낭종수술하고 한달 뒤에 교정시작했고요

24년12월에 사진찍었었는데 그때는 뿌리가 이렇게 많이 녹았다는걸 못 느꼈는데

이번달에 찍은 사진보니 좀 이상해서 교정전 사진이랑 비교하니

앞니가 3분의1은 없어진 것 같아요

원래 3개월만에 이렇게 빠르게 치근흡수가 진행되기도 하는건지

아니면 제가 낭종있던거 때문에 염증이 재발하며 옆으로 퍼진건지..

1월에 윗니만 와이어 교체하고 2월엔 아랫니만 와이어 교체했었습니다

사진을 볼 줄 모르고 궁금해서 질문올려봅니다

아랫니도 치근흡수 됐는데 윗니랑 끝부분 모양새가 달라서 윗니에 큰 문제가 생긴것 같아서 불안합니다 ㅠ

  • 1번 째 사진

5개의 답변이 있어요!

  • 김철진 치과의사

    김철진 치과의사

    가까운우리치과

    25.03.21

    안녕하세요. 김철진 치과의사입니다.

    나종제거를 하고나서 치근흡수가 진행이 됩니다. 거기에 교정을 하다보니 치아 뿌리 흡수가 더 빨리 진행된거 같습니다.

  • 안녕하세요. 안상우 치과의사입니다.

    상악에 있는 치아는 2년전과는 크게 다른것이 보이지는 않습니다. 파노라마 사진의 경우 찍는 각도에 따라서 치아의 길이가 다르게 보일수 있습니다.

    아래 앞니 치아의 경우에는 치근 흡수가 이루어 진것으로 보입니다.

  • 안녕하세요. 김지훈 치과의사입니다.

    치근단낭종으로 뼈가 많이 녹아있었던 것으로 인해 치근이 흡수되었을 것으로 생각됩니다.

  • 안녕하세요. 송우식 치과의사입니다.

    아닙니다. 윗니 수술 직후 사진은 낭종 제거한 부위가 검게 보인 것이며, 25년 3월 사진은 낭종 수술 부위 뼈가 차서 주변과 같은 색으로 보이기 때문인 것으로 보입니다. 낭종 제거시 치아뿌리 끝부위 잘라내는 치근단절제술 같이 한 것으로 치아뿌리끝 부위가 검게 보입니다.

  • 안녕하세요. 최석민 치과의사입니다.

    1. 치근낭종, 교정치료 모두 치아 뿌리 외흡수의 원인으로 작용할 수 있습니다

    2. 다만 현재 파노라마 사진으로는 정확한 판단이 어렵고 치근단 사진을 찍어봐야합니다

    3. 교정으로 이미 흡수된 치근양은 어쩔 수 없고 만약 뿌리끝 염증이 남아있다면 재신경치료를 해야할 수도 있습니다