아하
  • 토픽

  • 스파링

  • 잉크

  • 미션


의료상담

튼실한벌새143

튼실한벌새143

충치가 없다는데 뜨거운음식이 닿으면 이가 너무 시려요 (엑스레이사진있어요)

안녕하세요.

20대 여성입니다.

치과에서도 원인을 알 수 없는 통증때문에 질문남깁니다…

썩은치아 없다하시고, 올해2월 스케일링했었어요

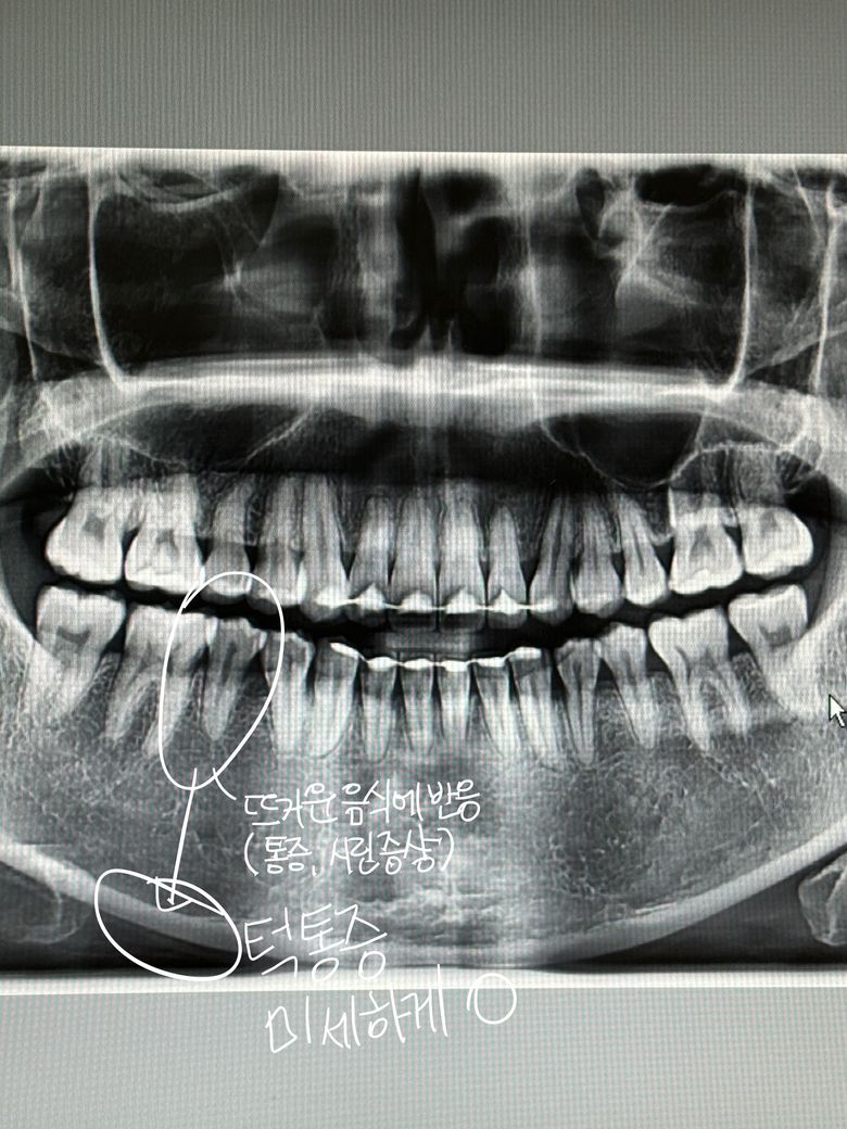
6월8일에 찍은 치아 엑스레이 사진 하단에 있습니다.

아픈지는 두달 된것같습니다.

Q. 왼쪽 하악 어금니 하나가

뜨거운 음식만

닿았다 하면

너무 시립니다.

차가운 음식은 닿아도 괜찮습니다.

각각 다른치과내원을 3번이나 했고,

모두들

이상이 없다 하십니다.

그치만 통증의 강도가 점점 세지는 것 같습니다.

턱은 안아팠었는데 아픈 치아의 아래턱도

묘하게 신경쓰이게 아프기 시작했어요.

대학병원을 가야할까요?

의심 가는 증상이 있을까요?

ㅜㅜ 너무 간절하네요.. 답변 부탁드립니다..

  • 1번 째 사진

4개의 답변이 있어요!

  • 최석민 치과의사

    최석민 치과의사

    강원도 원주의료원

    안녕하세요. 최석민 치과의사입니다.

    엑스레이상으론 특별히 이상이 있어보이지는 않습니다만 자세히 보기 위해서는 작은 치근단방사선 사진도 찍어볼 필요가 있고 다른 여러 치과 들러서 진단을 받아보시는 것도 도움이 됩니다.

  • 안녕하세요. 김지훈 치과의사입니다.

    치과 3곳의 방문상 아무이유도 찾지 못한경우라면 대학병원 혹은 신경과까지 가보시는게 좋겠습니다

  • 안녕하세요. 김철진 치과의사입니다.

    치아에 뜨거운 음식에 반응을 보인다면 치수염일 가능성이 있습니다. 계속해서 불편하시면 신경치료를 하셔야될수도 있습니다.

  • 안녕하세요. 안상우 치과의사입니다.

    사진으로는 크게 문제가 있어 보이진 않습니다 치아에 과도한 힘이 가해지게 되면 치아가 민감하게 되어 온도 변화에 불편감을 느낄 수 있습니다 치아에 가해지는 힘을 줄여 보시고 교합 간섭이 있다면 간섭을 조정해 주는 것이 좋을 수 있습니다.

    자세한 확인을 위해서 치과에서 진료를 받아 보는 것을 권유 드립니다.