아하
  • 토픽

  • 스파링

  • 잉크

  • 미션


의료상담

고결한박쥐242

고결한박쥐242

경부초음파사진 결과 사진 질문드립니다

성별

남성

나이대

32

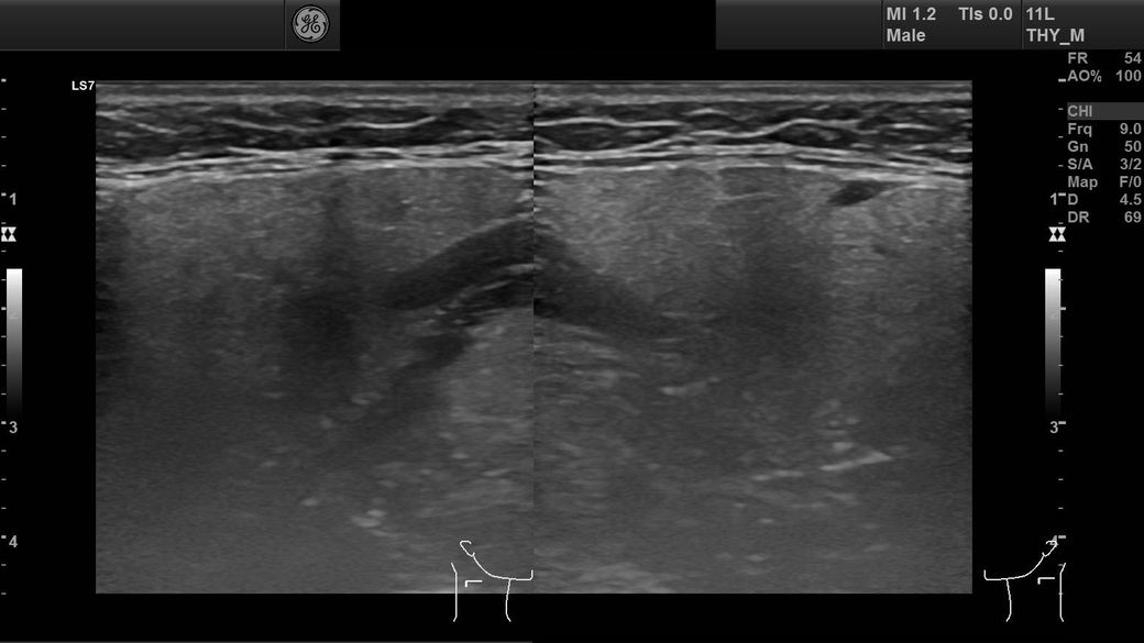
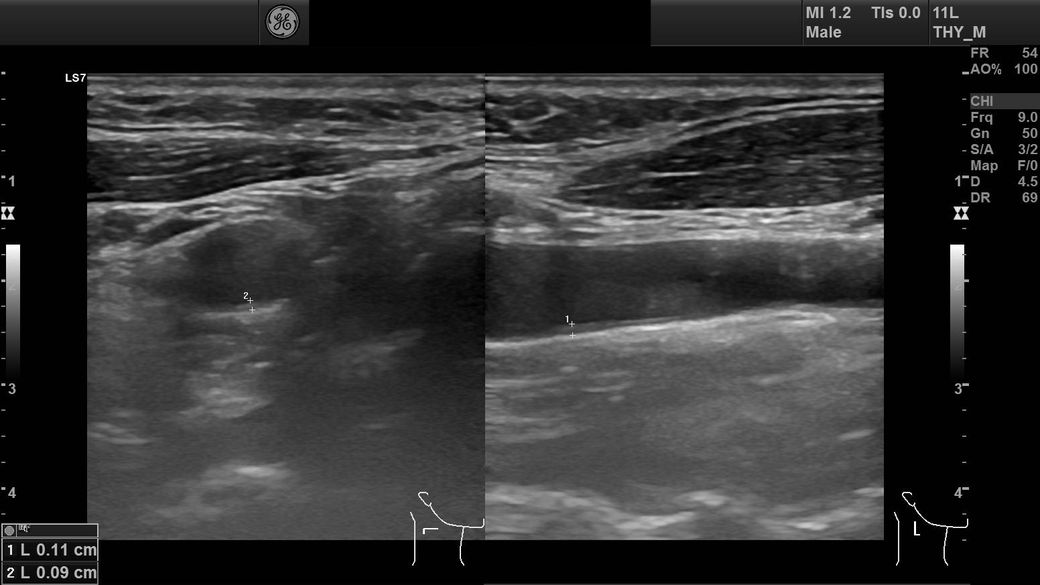
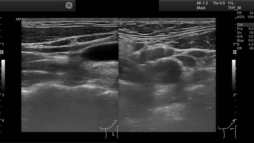
임파선이 부어서 초음파를 찍었는데

어떤 사진인지는 모르겠는데 혈관이 왼쪽에 비해 오른쪽이 좁다고 하셨는데 이게 큰 문제가 있는건가요?

  • 1번 째 사진
  • 2번 째 사진
  • 3번 째 사진
  • 4번 째 사진

1개의 답변이 있어요!

  • 채홍석 가정의학과 전문의

    채홍석 가정의학과 전문의

    유성선병원

    혈관이 좁다고 했다면 경동맥을 말하는 것 같습니다

    경동맥의 경우 2D로 관찰을 했을 때 내강이 절반이 되더라고 전체면적으로 봤을 떄는 많이 좁아진 것이 아니니

    크게 걱정하지 않으셔도 됩니다

    판독기록에 어느 정도 좋아졌는지 확인을 해보세요