아핫뉴스실시간 인기검색어
아핫뉴스 화산 이미지
화산 아이콘 11
이해찬 별세, 애도 이어져
아하

의료상담

기타 의료상담

대담한파랑새117
대담한파랑새117

갑상선 초음파인데 모양이나 위치가 안좋나요?

성별
남성
나이대
40

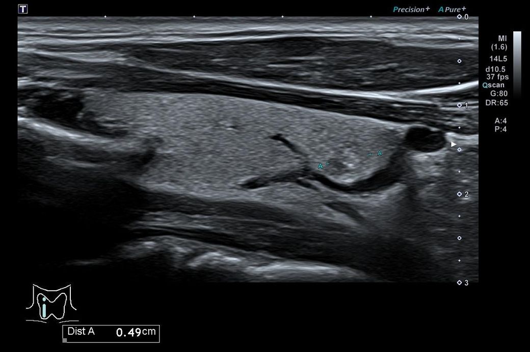
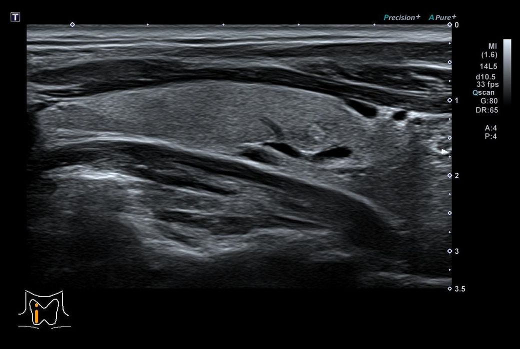
건강검진을 했는데 갑성선 우엽에 0.5cm 석회포함결절 이라고 하는데

위치나 상태가 안좋은 편일지요?

어떻게 보시는지 고견을 바랍니다.

  • 1번 째 사진
  • 2번 째 사진
  • 3번 째 사진
2개의 답변이 있어요!
  • 안녕하세요. 채홍석 가정의학과 전문의입니다.

    업로드해주신 증상의 설명과 자료는 잘 보았습니다.

    건강검진을 했는데 갑성선 우엽에 0.5cm 석회포함결절이 발견되어서 위치나 상태가 안좋은 편인지 걱정이 되시는군요

    일단 크기는 작지 않으며 석회화를 포함하기 때문에 조직검사가 필요할 것 같습니다

    선생님마다 약간씩 차이는 있겠지만 제가 담당이라면 조직검사를 할 것 같습니다.

  • 안녕하세요. 김수비 의사입니다.

    갑상선 초음파의 경우 일반적으로 영상의학과 전문의에게 직접 여쭤보셔야 합니다. 단순 화면 뿐만이 아니라 각종 파라미터나 수치 등도 같이 고려해야 정확한 결과 분석이 가능하기 때문이죠

    말씀하신 질환 관련해서는 일반적으로 갑상선의 석회화된 결절은 양성일 가능성이 큽니다. 석회화는 종종 오래된 결절이나 양성 결절에서 나타날 수 있으며, 악성 결절에서는 상대적으로 드물게 나타납니다. 하지만 결절의 크기, 모양, 그리고 다른 특성들을 종합적으로 판단해야 하므로, 세부적인 검사나 추적 관찰이 필요할 수 있습니다.

    검사 받은 병원 담당 의사와 초음파 결과 관련해서 심도있게 상의 해보시고 그 지침대로 하시면 될 듯 합니다.