아핫뉴스실시간 인기검색어
아핫뉴스 화산 이미지
화산 아이콘 11
홍익표 신임 정무수석
아하

의료상담

치과

비상하는 올빼미862
비상하는 올빼미862

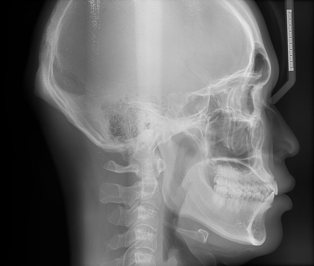
중안면부 꺼짐있는경우 양악을 하면 개선이 되나요?

중안면부 꺼짐있는 경우 미용적인 목적으로 양악수술을 하면 개선이 되나요?

보통은 이런경우 코수술을 하게되나요?

치아 교합은 정상인데 일자목이라서 그런건지모르겠지만 옆모습을 봤을때 입체적이지 않고 약간 1자 모습? \\모양 이여서 콤플렉스입니다.

오히려 이런경우 부작용이 크나요?

자료가 부족하겠지만 그냥 의사님들 개인생각 적어주시면 도움이될것같습니다

지인분들마다 평가하시는게 달라서 저스스로도 수술고민하는게 맞는지 잘모르겠습니다

(남자라서 괜찮다, 전혀모르겠다, 약간 턱이 나온것같다, 입이나온거다,연예인할것도 아닌데 왜그러냐 등등)

그리고 제가 살짝 팔랑귀라서 고민하게되네요

  • 1번 째 사진
  • 2번 째 사진
  • 3번 째 사진
4개의 답변이 있어요!
  • 안녕하세요. 정진석 치과의사입니다.

    양악 수술을 하여 현재 안모를 개선시킬 수 있어 보이지만 추천드리지는 않습니다. 현재 보이는 방사선 사진에서 3급 부정교합이기는 하나 안모상으로 크게 문제가 되는 정도는 아닙니다. 지금보다 훨씬 하악이 앞으로 나오거나 상악이 뒤로 위치할 경우에 심미적인 목적과 더불어 교합이상으로 양악을 추천하나 현재 수준에서는 양악을 잘 하지 않습니다.

    즉 심미적으로 그렇게 나빠보이지 않으므로 무리하게 양악을 하는 것을 추천드리지 않으며 코성형이나 다른 부위 성형으로 해당 부위에 대한 심미적 개선을 하는 것을 추천드립니다.

    아무쪼록 저의 답변이 문제 해결에 작게 나마 도움이 될 수 있기를 기원드립니다. 항상 건강하고, 행복하세요^^

    정진석 치과의사 드림

  • 안녕하세요. 김바른 치과의사입니다.

    현재 자료를 놓고 평가해보면, 하악골이 살짝 돌출된 정도로 보입니다. 그러나 그 정도가 심하지 않습니다.

    본인이 느끼기에 그렇게 느끼시는 것이지 실제로 여러 환자를 만나본 경험상 특별히 이상할 정도의 범주에 속하지 않습니다.

    한마디로 본인이 원하신다면 미용적인 목적으로 양악수술을 받는 경우가 될 수는 있겠으나, 무조건 수술을 해야하는 케이스는 절대 아닙니다.

    또한, 남성의 경우 원래 안모가 1자 형으로 straight하게 내려오는 것이 더 심미적이라 평가합니다.

    반면 여성의 경우에는 중안모가 살짝 나온듯한 convex한 형태를 아름답고 귀여운 인상으로 평가합니다.

    그러나 이 또한 평균적인 것이지 최근에는 개성이 중시되기때문에 자기자신에게 맞는 인상과 얼굴형이 존재합니다.

    잘못된 것이라 생각하여 고치려고 하시기보단, 자기자신을 조금 더 사랑하는 마음을 가지시는 것도 좋겠다는 생각이 듭니다.

  • 안녕하세요. 김철진 치과의사/경제·금융전문가입니다.

    약간 턱이 나오신것같지만 크게 문제는 없어보입니다. 기능상에 문제가 있다면 교정이나 수술을 통해서 해결해야되지만 기능상의 문제가 없으시다면 심미적인 부분이 클텐데 이건 작성자님의 선택사항입니다. 치료를 원하신다면 양악수술도 고려해보셔야될것같습니다

  • 탈퇴한 사용자
    탈퇴한 사용자

    안녕하세요. 장인아 치위생사입니다.

    양악수술로 개선이 가능할수 있습니다.

    양악수술은 안면 비대칭, 돌출입, 부정교합 등

    얼굴뼈의 구조적 개선이 필요한 경우

    개선이 가능할수 있습니다.

    치과 방문해서 교정 상담 받아보면 좋을것 같습니다.

    건강하세요.