아하
  • 토픽

  • 스파링

  • 잉크

  • 미션


의료상담

고요한홍관조82

고요한홍관조82

22.03.17

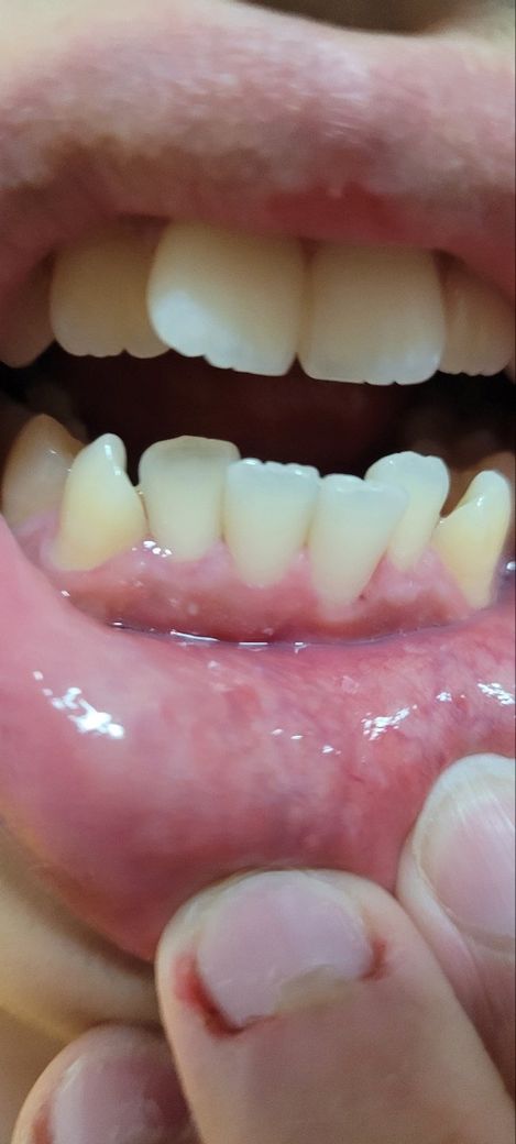
잇몸이 아픈데 부엇는건지 따금따금거리는 이유가뭘까요?

앞니쪽 잇몸 중간이 따금따끔거리는데 이유를모르겠습니다 3일동안 지속중인데 병원에 가야할가요?

밥을먹을때는 아프지 않습니다 음식을 씹을때 삼킬때포함해서 먹고난뒤에 입에 아무것도 없을때 시큰하게?

따금따금합니다

  • 1번 째 사진

7개의 답변이 있어요!

  • 이호진 의사

    이호진 의사

    22.03.17

    안녕하세요. 이호진 의사입니다.

    잇몸에 염증이 생기면 잇몸쪽이 욱신거리고 붓고 하게 됩니다.

    이러한 잇몸 염증을 일으키는 것은 보통 치석입니다.

    치석에는 균이 잘 달라붙게 되는데, 이렇게 균이 치석에 붙게 되면 균들에 의해 잇몸에 염증이 일어나 붓고 아프게 되는것입니다.

    따라서 이러한 치석을 제거하기 위해

    일단 스케일링을 해보시는것이 좋고, 그렇게 해도 안되면 큐렛술식을 하셔야할 수 있습니다.

  • 안녕하세요. 남희성 의사입니다.

    사진이 명확하게 보이지는 않지만 사진상 왼쪽 아래에 보면 하얀색으로 작은 동그라미들이 혹시 아프타성 궤양이 있으신건 아닌가요?

    가만히 두셔도 좋아질것으로 보이고 조금 더 빨리 호전을 원하시면 오라메디같은 스테로이드 연고를 바르시면 되겠습니다.

  • 안녕하세요. 최병관 의사입니다.

    현재 호소하시는 증상과 사진만으로는 정확한 판단이 어려우므로 잇몸에 통증이나 시린증상이 있다면 치주염이 있을 가능성이 있으니 치과에 내원하시어 기본적인 검진 및 스케일링을 받으시는 것이 좋겠습니다.

  • 안녕하세요 아하(Aha) 의료, 코로나 카테고리에서 활동중인 전문의입니다.

    구내염이 발생한 것으로 보입니다. 가까운 치과에서 진료를 보는것이 효과적입니다.

    참조하시어 도움이 되기를 바랍니다.

     

  • 사진의 소견 및 질문자님께서 말씀하시는 증상은 비특이적이기 때문에 특정한 원인이나 질병을 의심하기에 무리가 있습니다. 하지만 증상이 있는 만큼 관련하여 정밀 검사를 받고 정확한 상태 파악이 선행되어야 할 것으로 보입니다. 치과 진료를 보시고 필요한 검사 및 결과에 따른 치료를 받으시길 권유드립니다.

  • 탈퇴한 사용자

    탈퇴한 사용자

    22.03.18

    안녕하세요. 안중구 소아과의사입니다.

    입안에는 수많은 세균이 정상균총을 이루며 서식하고 있습니다. 구내염이나 입안의 작은 상처 등은 면역이 저하되는 상황에서 병변을 만들 수 있고 대부분 약물복용 없이 수일내 호전되게 됩니다. 심한 부종과 통증 열감은 항바이러스제나 항생제 복용이 필요할 수 있습니다.


  • 안녕하세요. 김경태 의사입니다.

    잇몸질환이 있으신것 같습니다.

    보다 정확한 진단과 치료를 위해서 가까운 의원 혹은 병원 내원하셔서 전문의의 문진, 신체진찰 및 추가 영상학적 정밀검사를 해보시길 권유드립니다.