아핫뉴스실시간 인기검색어
아핫뉴스 화산 이미지
화산 아이콘 11
이승우 모친공개 고급세단 선물
많이 본
아하

의료상담

정형외과

꾸준한까치209
꾸준한까치209

병원에서 설명을 좀 급하게해줬는데요

성별
남성
나이대
37

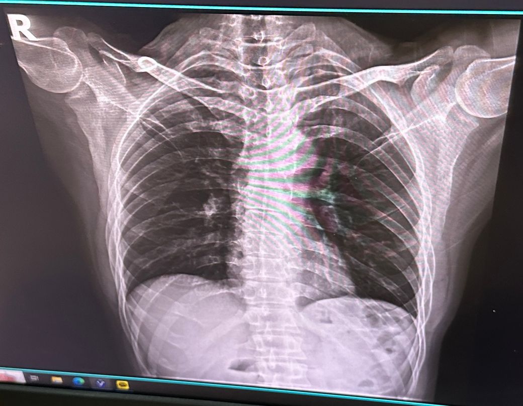
등통증이 한달전부터 굽히면있고 2,3일 전부터는 좌우로 움직이거나 아래로 굽힐때 또 숨 크게쉴때 아파서 엑스에이찍었더니 측만증 조금 있고 신경이 부어서 그런거같다고 다음 주사랑 약 처방받았습니다

근데 갑자기 왜 측만증이 생긴건지 심한지 좀 병적인건지 치료해여하는건지 또 갑자기 신경이 왜부었는지 뭘 조심해여할지 잘 모르겠더라구요

엎드리거나 앉는

자세를 조심해야하는 건가요..?

만세자세로 자서그런가요?

자는 자세가안좋아서 그런건지..

  • 1번 째 사진
  • 2번 째 사진
  • 3번 째 사진
  • 4번 째 사진
  • 5번 째 사진
  • 6번 째 사진
4개의 답변이 있어요!
  • 안녕하세요. 이정재 재활의학과 전문의입니다.

    지금 나이대 측만증은 딱히 진행되지도 않고 신경은 안쓰셔도 될것 같고 치료하신 부분은 등쪽 척추신경차단술을 하신것 같습니다. 관절 부위에 작용하는 신경을 치료하여 통증치료를 하는 방법인데요. 평소에

    올바른 자세로 앉는연습과함께

    목은 신전자세 유지를

    허리또한

    요추전만 자세를 연습하여 전반적으로 흉추 후만증(등 굽은) 척추정렬을 올바르게 하는 훈련을 하시는게 좋겠습니다

  • 안녕하세요. 김민선 물리치료사입니다.

    측만증이 다양한 원인이 있지만 엑스레이 상에서 보아도 측만증이 있어보이긴 합니다. 근데 측만증이라는게 선천적일수도 있고 후천적일 수도 있고 이에따라 치료법이 다르고.. 또한 내가 등이 아프면서 안아프게 하려고 몸을 꼬니까 측만증이 있는것처럼 보일 수 있습니다.

    이런식으로 하나하나 문진을 통해 원인을 찾아 잡아가야하는게 측만증이라.. 잘하는 정형외과 도수치료 받아보시는게 중요할거같습니다 단순 약 처방은 정상커브로 오기 힘들고 운동과 생활습관... 무엇보다 중요한게 원인을 정확히 파악하는게 중요합니다

  • 안녕하세요. 김덕현 물리치료사입니다.

    사진상으로 많은걸확인할수는없지만 지금가지고있는 측만증의경우 자세적인문제가있을수있는데요 잠을자거나 휴식을취할때 엎드리거나 만세를하고있는동작은 목어깨나 허리, 몸에 부담을줄수있기때문에 추천하지않습니다

    또 평소 스트레칭과 운동을통해서 몸을 관리하는것이 중요한데요 유튜브를참고해 약한강도의 운동부터 시작해보시길 바랍니다 감사합니다~!

  • 안녕하세요. 송진영 물리치료사입니다.

    측만증은 일반적으로 유전적 요인이나 오래된 잘못된 자세로 인해 발생할 수 있으며 급격한 통증이 나타나지 않으면 그 자체로 큰 문제가 되지 않는 경우도 많습니다. 신경 부종은 압박에 의해 발생할 수 있으며 잘못된 자세나 장시간 앉는 습관이 영향을 미칠 수 있습니다.