아하
  • 토픽

  • 스파링

  • 잉크

  • 미션


의료상담

고귀한펭귄49

고귀한펭귄49

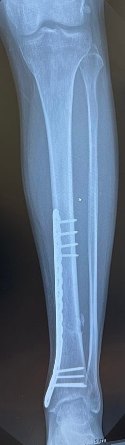
골절 후 엑스레이상 지금 상태가 어떤가요?

성별

남성

나이대

41

선생님 말로는 심하게 골절되어 시간은 좀 걸리지만 잘 붙고 있다고하는데 맞나요?

아래 엑스레이 상 뼈조각 같이 보이는건 뭔가요??

  • 1번 째 사진
  • 2번 째 사진

1개의 답변이 있어요!

  • 강성주 정형외과 전문의

    강성주 정형외과 전문의

    광주전남 정형외과

    안녕하세요. 강성주 의사입니다.

    골유합은 잘 진행이 되고 있으신 것 같습니다.

    뼈조각 처럼 보이는 것은 실제로 골절편이 전위되었을 가능성 및 골유합 과정에서 뼈찐 등이 퍼져나갔을 가능성도 있으나 치료과정에 큰 영향은 없으실 것 같습니다.

    감사합니다.