아핫뉴스실시간 인기검색어
아핫뉴스 화산 이미지
화산 아이콘 11
한동훈 제명 갈등
아하

의료상담

정형외과

꼼꼼한체리138
꼼꼼한체리138

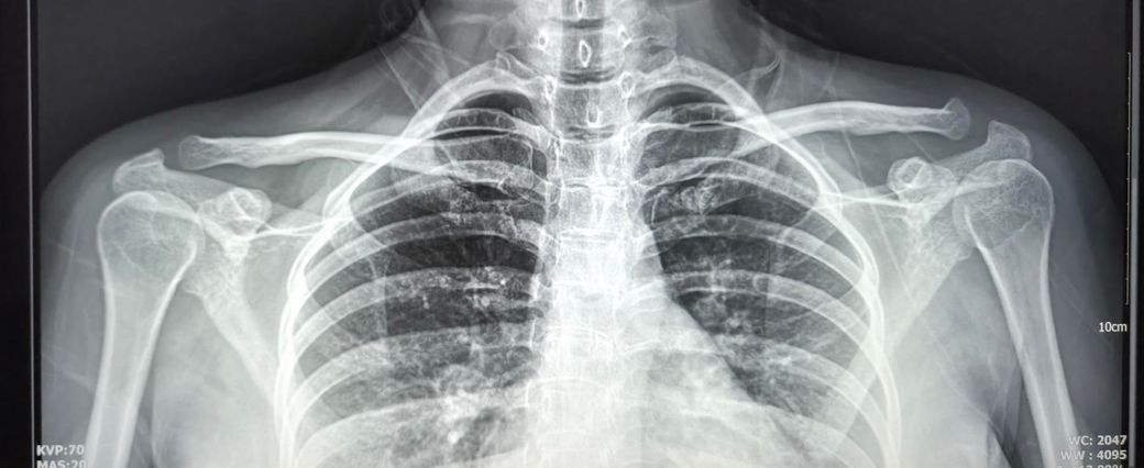
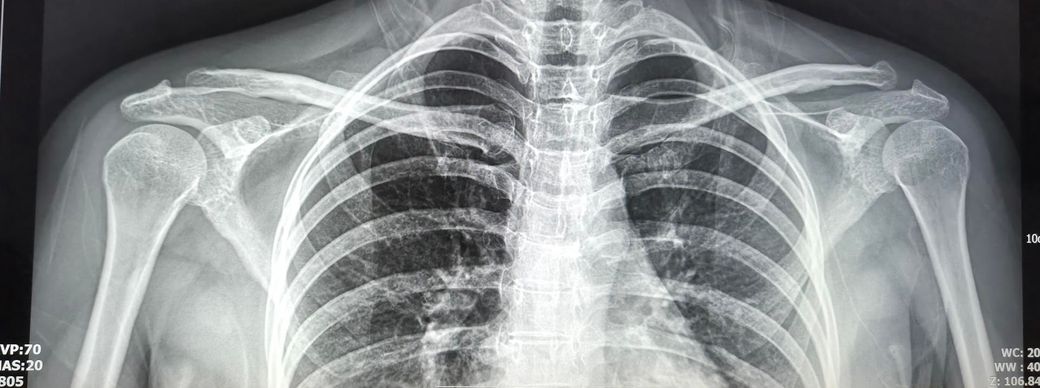
어께 골절 어때보이나요?심해보이나요?

성별
여성
나이대
20대
복용중인 약
우울증약,위염약

어께뼈 사진인데 왼쪽이 골절됬다가 다시붙었다는데 골절이 된건가요? 붙은건가요?

골절이된거면 병원을 다시 가봐야하나요??

  • 1번 째 사진
  • 2번 째 사진
  • 3번 째 사진
  • 4번 째 사진
3개의 답변이 있어요!
  • 안녕하세요. 김덕현 물리치료사입니다.

    사진상으로볼때에는 골절부분을 확인하는게 어려운데요 병원에서 골절을 진단받았을당시에 엑스레이사진을 보여주셔야 확인이가능합니다~

    감사합니다!

  • 안녕하세요. 김강록 물리치료사입니다.

    우선 현재로썬 전문의에 소견이 골절이 됐다가 유합이 됐다는 소견이 있기에 현재로썬 골절 부위는 확인을 하기 어렵습니다.

    전문의에게 어디가 골절 부위였는지 안내 받으시고 만약 통증, 움직임 제한, 불편감이 있다면 병원에 내원하시길 바랍니다^^

  • 안녕하세요. 김현태 물리치료사입니다.

    검사이후에 골절이 발생했었다는 소견을 제외하고 특별한 이상소견을 들으신 것이 아니라면 문제가 될 가능성은 낮습니다.

    어깨부위에 통증이나 불편감이 있다면 다시 진료를 받아보시고 그에관한 치료를 고려해보시는 것을 추천드립니다.