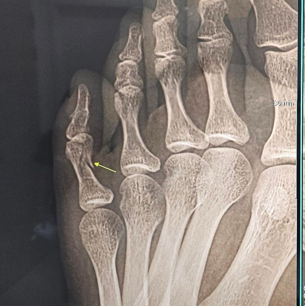
골절 2주차입니다, 잘붙고있나요??
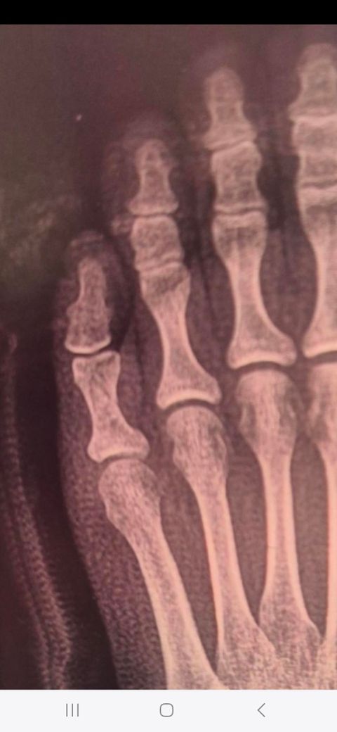
골절 2주차입니다 반깁스하다 이제 통깁스하고있어요. 엑스레이상 잘 붙고있는건지요? (1번은 2주전/ 2번은 현재 사진)
~~~~~~~
안녕하세요. 권만순 물리치료사입니다.
네 잘 회복 하는것으로 보입니다. 골절선은 남아있는걸로 보이는데 아직은 조심하는게 좋을듯 합니다.~
1명 평가안녕하세요. 김덕현 물리치료사입니다.
엑스레이상으로는 너무 잘붙고있는거같습니다!
지금처럼 휴식을 취하면서 최대한 고정을해주시면 더 좋을거같아요~ 깁스를 풀고나서는 굳어있는관절을 움직이고 풀기위해서 재활치료도 같이받으시면 훨씬더 일상생활로 돌아오는데 도움이될겁니다!
깁스를 푼다고해도 아직은 약해져있는상태이기때문에 무리한움직임이나 심한운동은 삼가해주시는게 제일좋습니다!
빨리 몸이회복되시기를 바라겠습니다! 감사합니다~
1명 평가안녕하세요. 송진영 물리치료사입니다.
골절 후 2주차에 통깁스로 전환하셨다면 의사선생님이 엑스레이를 통해 잘 붙고 있는지 확인해 주셨을 것입니다.
일반적으로 골절이 잘 붙고 있다면 통증이 줄어들고 부기가 가라앉는 경향이 있습니다. 하지만 정확한 상태는 의사의 진단이 필요합니다.
긴 글 읽어주셔서 감사합니다:)
1명 평가안녕하세요. 이창우 물리치료사입니다.
회복이 잘 되어가는것으로 보입니다.
보통은 모니터가 좋아야 확인이 가능한데, 이전에 비해 금이 간게 많이 사라진것을 육안으로 확인할 수 있는데요.
차근차근 회복에 집중하시면 좋을거같습니다.
환자분의 건강을 위해 최선을 다하겠습니다.
긴 글 읽어주셔서 감사합니다.
1명 평가안녕하세요. 김현태 물리치료사입니다.
회복은 잘 이루어지는 것으로 볼 수 있다고 생각합니다. 석고고정을 유지하시면서 근육위축이나 관절의 구축을 방지하기 위해서 등척성 운동을 시행해주시는 것도 좋겠습니다. 골절의 회복에는 최소 4주에서 6주정도의 시간이 소요되는 것이 일반적이며, 석고고정을 하는 기간동안에는 신체에 무리가 가지 않는 선에서 일상생활을 해주시는 것이 도움이 될 것으로 생각됩니다. 또한 누워서 휴식을 취하실 때에는 다리 밑에 배게등을 받쳐두어 혈액순환이 잘 일어날 수 있도록 해주시는 것도 좋겠습니다.
1명 평가안녕하세요. 이동진 물리치료사입니다.
발가락 골절로 불편이 있으시군요.
X-RAY 상으로는 잘 치유되고 있는 것으로 보입니다.
관리 잘하시고 빠른 쾌유하시길 바랍니다.
1명 평가안녕하세요. 김지훈 물리치료사입니다.
엑스레이상으로는 아직 완전히는 붙지않았지만 제자리로 잘 붙고있는 상황입니다 골절은 다시 심해질수있으니 항상 조심하셔서 관리하시길 바랍니다 깁스가끝난후에 보호대를 하시는것도 좋습니다

