의료상담
독감 걸린 후 구내염이 너무 심해요. 어떻게 해야 빨리 낫나요?
성별
남성
나이대
35
기저질환
없음
복용중인 약
없음
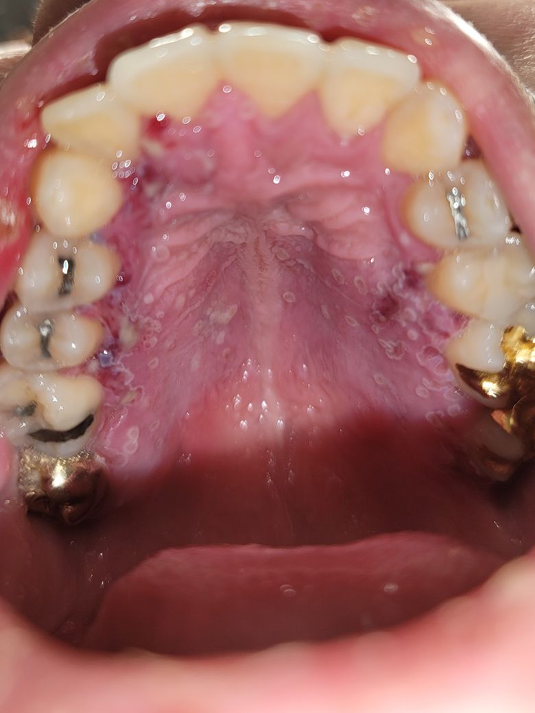
저번 주 A형 독감 걸렸다가 지금은 괜찮은데,
사진(혐 주의)과 같이 입 안 전체적으로 구내염이 심하게 났어요.
음식을 도저히 못씹을 정도라 흰 쌀죽을 믹서기에 갈아서 먹고 있어요.
근처 내과와 치과를 가봤는데 별다른 치료법은 없는 것 같더라구요....
제대로 먹지도 못하고 너무 힘든 상황인데, 빨리 나으려면 어떻게 하는 게 좋을까요?
(현재 헥사메딘으로 하루 수차례 가글하고 있고 최대한 휴식 취하려 노력하고 있습니다.)
55글자 더 채워주세요.
1개의 답변이 있어요!
안녕하세요. 최성훈 의사입니다.
특별한 치료법은 없습니다. 지금처럼 잘 쉬시고 영양을 섭취하는 것이 최선이며 비타민 복용과 구내염 연고 사용이 도움이 될 수 있겠습니다.

