아하
  • 토픽

  • 스파링

  • 잉크

  • 미션


의료상담

내내차분한시베리안허스키

내내차분한시베리안허스키

25.03.25

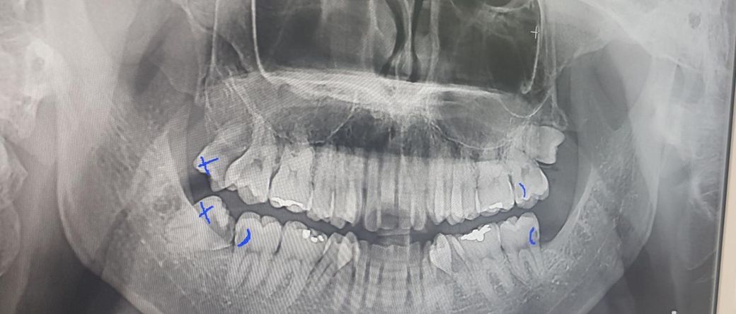
47번 어금니 쪽 치수복조술이 가능할까요?

사랑니는 이미 발치한 상태이고 47번 어금니에 대해

신경치료가 확실한 건 아닌데 가능성이 있다고 합니다

치수복조술이란 게 있다고 하는데

그런 접근도 전혀 불가능한 상태일까요?

30대 초반인데 벌써 치아를 없애는 것 같아

최대한 피하려고 합니다

  • 1번 째 사진

5개의 답변이 있어요!

  • 안상우 치과의사

    안상우 치과의사

    목동안치과의원

    25.03.26

    안녕하세요. 안상우 치과의사입니다.

    사랑니로 인해서 충치가 생겼다면 충치가 생긴 부위를 제거해야 합니다. 충치가 생긴 부분을 제거하고 난 다음에 신경이 노출이 된다면 치수복조술을 이용을 해서 치아를 신경 치료하는 것을 피할 수 있습니다.

    하지만 치수복조술을 한다고 해도 보철 등으로 인해서 치아를 수복해 줘야 할 수 있습니다.

    자세한 확인을 위해서 치과에서 진료를 받아보는 것을 권유드립니다.

  • 안녕하세요. 김지훈 치과의사입니다.


    치수복조술이란 치료의 적응증이 될지는 잘 모르겠습니다. 신경치료 가능성이 높아보입니다.

  • 안녕하세요. 송우식 치과의사입니다.

    일단 충치가 신경 가까이 많이 근접한 것 같지는 않아 보이니 충치 제거하고 치수복제하는 약제 밑에 까는 것 시도해 볼 수는 있습니다. 일단 충치 제거해 보는 것이 우선입니다.

  • 안녕하세요. 김철진 치과의사입니다.

    성인의 경우는 치조복조술을 하지 않고 신경치료를 하셔야됩니다. 예후가 좋지 않는곳에 충치가 생겻지만 빼기는 아까워서 일단 신경치료를 하셔서 크라운 치료를 해보시는게 좋을것같습니다.

  • 안녕하세요. 최석민 치과의사입니다.

    치수복조는 신경에 근접한 충치일 경우 해볼 수 있고 신경치료 전 해볼 수 있는 단계라고 보시면 됩니다 47번에 대해 시도해볼 수 있을 것 같습니다