아하
  • 토픽

  • 스파링

  • 잉크

  • 미션


의료상담

내추럴한낙타287

내추럴한낙타287

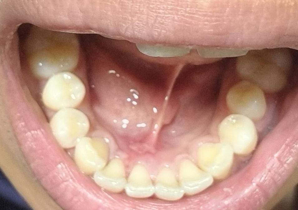
구내염 인거 같기는 한데 확인부탁드립니다.

아랫니 뒤쪽 잇몸? 침샘 ? 쪽인거 같은데 여기에도 구내염이 나는것이 맞는지 여쭤봐요 ㅠㅠ 느낌은 하얗고 혓바늩같이 생겼고 혀로 건드리면 평평한 느낌입니다. 어떤 증상인지 그리고 쾌유 방법좀 알려주시길 바랍니다 ㅜ

  • 1번 째 사진
  • 2번 째 사진

2개의 답변이 있어요!

  • 김철진 치과의사

    김철진 치과의사

    가까운우리치과

    안녕하세요. 김철진 치과의사입니다.

    사진상으로 보면 구내염인거 같습니다. 최대한자극이 가지 않도록 해주시고 약국에 가셔서 구내염 약을 구매 하셔서 바르시면 도움이 될꺼에요.

  • 안녕하세요. 송우식 치과의사입니다.

    단순구내염으로 보입니다. 구내염은 그냥 두어도 1주일 정도 지나면 저절로 없어집니다. 구내염은 피곤하거나 스트레스 받고 하면 잘 생깁니다.