아핫뉴스실시간 인기검색어
아핫뉴스 화산 이미지
화산 아이콘 11
김영대 평론가 별세
많이 본
아하

의료상담

정형외과

궁금해요아주궁금해도와주세요제발
궁금해요아주궁금해도와주세요제발

무릎 mri 간단히 봐주실 수 있으시나요 ㅠㅠ

성별
남성
나이대
32
기저질환
무릎

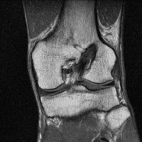
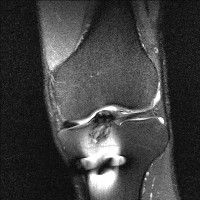
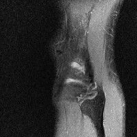
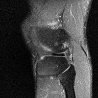
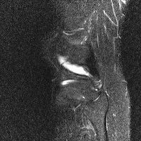
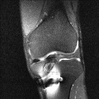
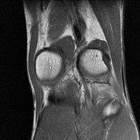
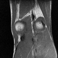
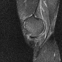
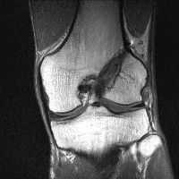
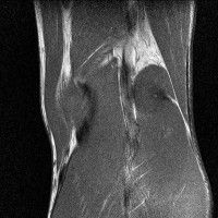
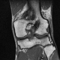
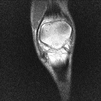
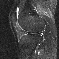
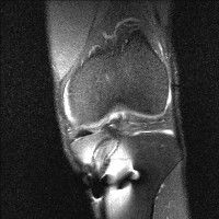
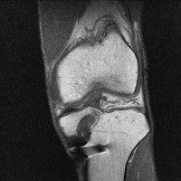
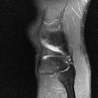
안녕하세요 8년전 십자인대 수술하고 최근 무리한 운동에 무릎 불편감이 생겨서

mri 찍었습니다.

진단결과는 첫 찍은 병원에서 활액막염 이라는 진단을 받았습니다. 혹시 봐주실 수 있으실까요?

진단결과가 달라 혼란스럽습니다 ㅠㅠ

  • 1번 째 사진
  • 2번 째 사진
  • 3번 째 사진
  • 4번 째 사진
  • 5번 째 사진
  • 6번 째 사진
  • 7번 째 사진
  • 8번 째 사진
  • 9번 째 사진
  • 10번 째 사진
  • 11번 째 사진
  • 12번 째 사진
  • 13번 째 사진
  • 14번 째 사진
  • 15번 째 사진
  • 16번 째 사진
  • 17번 째 사진
  • 18번 째 사진
  • 19번 째 사진
  • 20번 째 사진
  • 21번 째 사진
  • 22번 째 사진
  • 23번 째 사진
  • 24번 째 사진
  • 25번 째 사진
  • 26번 째 사진
  • 27번 째 사진
  • 28번 째 사진
  • 29번 째 사진
  • 30번 째 사진
  • 31번 째 사진
  • 32번 째 사진
  • 33번 째 사진
  • 34번 째 사진
  • 35번 째 사진
  • 36번 째 사진
  • 37번 째 사진
  • 38번 째 사진
  • 39번 째 사진
  • 40번 째 사진
  • 41번 째 사진
  • 42번 째 사진
  • 43번 째 사진
  • 44번 째 사진
  • 45번 째 사진
  • 46번 째 사진
  • 47번 째 사진
  • 48번 째 사진
  • 49번 째 사진
  • 50번 째 사진
  • 51번 째 사진
  • 52번 째 사진
  • 53번 째 사진
  • 54번 째 사진
  • 55번 째 사진
  • 56번 째 사진
  • 57번 째 사진
  • 58번 째 사진
  • 59번 째 사진
  • 60번 째 사진
  • 61번 째 사진
  • 62번 째 사진
  • 63번 째 사진
  • 64번 째 사진
  • 65번 째 사진
  • 66번 째 사진
  • 67번 째 사진
  • 68번 째 사진
  • 69번 째 사진
  • 70번 째 사진
  • 71번 째 사진
  • 72번 째 사진
  • 73번 째 사진
  • 74번 째 사진
  • 75번 째 사진
  • 76번 째 사진
  • 77번 째 사진
  • 78번 째 사진
  • 79번 째 사진
  • 80번 째 사진
  • 81번 째 사진
  • 82번 째 사진
  • 83번 째 사진
  • 84번 째 사진
  • 85번 째 사진
  • 86번 째 사진
  • 87번 째 사진
  • 88번 째 사진
  • 89번 째 사진
  • 90번 째 사진
  • 91번 째 사진
  • 92번 째 사진
  • 93번 째 사진
  • 94번 째 사진
  • 95번 째 사진
  • 96번 째 사진
  • 97번 째 사진
  • 98번 째 사진
  • 99번 째 사진
  • 100번 째 사진
  • 101번 째 사진
  • 102번 째 사진
  • 103번 째 사진
  • 104번 째 사진
  • 105번 째 사진
  • 106번 째 사진
  • 107번 째 사진
  • 108번 째 사진
  • 109번 째 사진
  • 110번 째 사진
  • 111번 째 사진
  • 112번 째 사진
  • 113번 째 사진
  • 114번 째 사진
  • 115번 째 사진
  • 116번 째 사진
  • 117번 째 사진
  • 118번 째 사진
  • 119번 째 사진
  • 120번 째 사진
  • 121번 째 사진
  • 122번 째 사진
  • 123번 째 사진
  • 124번 째 사진
  • 125번 째 사진
  • 126번 째 사진
  • 127번 째 사진
  • 128번 째 사진
  • 129번 째 사진
  • 130번 째 사진
  • 131번 째 사진
  • 132번 째 사진
  • 133번 째 사진
  • 134번 째 사진
  • 135번 째 사진
  • 136번 째 사진
  • 137번 째 사진
  • 138번 째 사진
  • 139번 째 사진
  • 140번 째 사진
  • 141번 째 사진
  • 142번 째 사진
  • 143번 째 사진
  • 144번 째 사진
  • 145번 째 사진
  • 146번 째 사진
  • 147번 째 사진
  • 148번 째 사진
  • 149번 째 사진
  • 150번 째 사진
  • 151번 째 사진
  • 152번 째 사진
  • 153번 째 사진
  • 154번 째 사진
  • 155번 째 사진
  • 156번 째 사진
  • 157번 째 사진
  • 158번 째 사진
  • 159번 째 사진
  • 160번 째 사진
  • 161번 째 사진
  • 162번 째 사진
  • 163번 째 사진
  • 164번 째 사진
  • 165번 째 사진
  • 166번 째 사진
  • 167번 째 사진
  • 168번 째 사진
  • 169번 째 사진
  • 170번 째 사진
  • 171번 째 사진
  • 172번 째 사진
  • 173번 째 사진
1개의 답변이 있어요!
  • 안녕하세요. 강성주 의사입니다.

    올라온 MRI가 단편적이라서 정확한 진단에 어려움이 있지만 십자인대에는 큰 이상이 있지는 않은것 같으며, 무릎관절내 물이 있는 것으로 보아 활액막염의 진단이 맞을 것 같습니다.

    하지만 단편적인 영상이기 때문에 촬영병원에서 정확한 판독지 등을 받으시는 것이 좋겠습니다.

    감사합니다.