홈
토픽
스파링
잉크
미션
전문가 신청
베리몰
나도 질문하기
의료상담
살짝쾌활한매실나무
나이는 37세 남자 입니다.
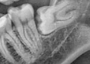
아래쪽에 수평매복 사랑니 갖고있습니다.
그림처럼 사랑니하고 왼쪽 어금니 사이에 뼈가 거의 없고, 앞치아가 건강한 상태인데도 불구하고
뽑고 나면 뼈가 안차오를거라고 합니다.
실제로 안차오를 수도 있나요?
안차오르면 나중에 흔들리거나 문제가 될수도 있다고 해서 너무 고민입니다.ㅠㅠㅠㅠ
빼긴 빼야 되는 상황인데요.ㅠㅠ
사진 보기
4개의 답변이 있어요!
김지훈 치과의사
메가
∙
안녕하세요. 김지훈 치과의사입니다.
사랑니를 발치 한 후에 뼈가 다 안차오를 수도 있으나 대부분은 문제 없으니 발치를 하시면 되겠습니다.
5.0 (1)
1
응원하기
최석민 치과의사
강원도 원주의료원
안녕하세요. 최석민 치과의사입니다.
치유부전인 경우 뼈가 차오르지 않을 수 있습니다 치아는 잇몸뼈에 의해 3차원적으로 붙잡혀 있으므로 병소가 생긴게 아니라면 사랑니뺀다고 급격히 흔들리거나 하진 않겠으나 시릴 순 있습니다
안상우 치과의사
목동안치과의원
안녕하세요. 안상우 치과의사입니다.
사랑니를 발치하고 나서는 해당부의 혈병이 형성되면서 치유가 진행이 됩니다. 혈평을 초기에 제거하게 되어. 치조골에 감염이 된다면 뼈가 덜 차 오르는 경우도 있습니다. 발치를 하고 나서 혈병을 잘 유지하며 치유가 잘 된다면 대부분 치조골이 올라오게 됩니다.
김철진 치과의사
가까운우리치과
안녕하세요. 김철진 치과의사입니다.
치아에 염증이 없고 나이가 젊다면 발치를 하고 시간이 지나면 어느정도 잇몸뼈는 차오를꺼에요.
평가