아핫뉴스실시간 인기검색어
아핫뉴스 화산 이미지
화산 아이콘 11
청년동맹 80주년 기념대회
아하

의료상담

치과

무조건스마트한파프리카
무조건스마트한파프리카

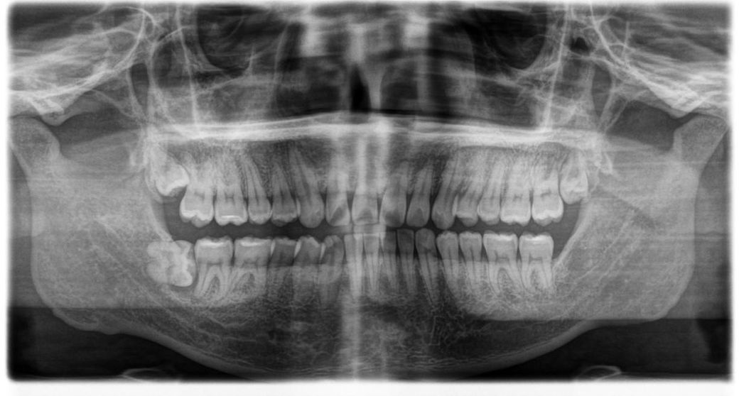
사랑니 발치 후 어금니 치조골 관련해서..

아래 사랑니 어금니 치조골 쪽이 회복이 안될 것 같아서 어금니 상태가 안좋다고 뽑아야할 수도 있다고 하시던데..

어금니쪽에 딱히 통증은 못 느끼긴 했는데 흔들리긴 한다고 하셔서.. 염증은 제가 못느끼긴 했는데 치조골 회복이 아예 안될까요?

만 26살이라 미리 뽑았으면 괜찮았을까 싶기도 한데 마음이 착잡합니다.

  • 1번 째 사진
4개의 답변이 있어요!
  • 안녕하세요. 김지훈 치과의사입니다.

    사랑니 발치 후에 치조골은 회복이 될 가능성이 높으니 더 방치하지 마시고 발치하셔야 합니다.

    1명 평가
  • 안녕하세요. 안상우 치과의사입니다.

    사랑니를 발치하고 나면 발치한 부위에는 치조골이 대부분 차오르게 됩니다. 오른쪽 아래에 있는 사랑니의 경우에는 치아 뿌리 끝에까지 치조골이 없는 상태이긴 하지만 우선 감염이 없기 때문에 발치 후 치조골이 차오르는 것을 지켜보는 것이 좋을 것으로 생각됩니다.

    1명 평가
  • 안녕하세요. 김철진 치과의사입니다.

    사진상으로 왼쪽 아래 사랑니때문에 잇몸뼈가 많이 녹아 잇는 상태 같습니다. 앞치아도 발치를 해야될 가능성도 있어 보입니다.

    1명 평가
  • 안녕하세요. 최석민 치과의사입니다.

    발치 후 해당 발치 부위의 잇몸뼈가 잘 차오를지 여부는 신체의 재생 능력이 주된 영향을 미치고, 발치 후 처치(염증 조직 제거)에 따라서도 약간 영향을 미칩니다.

    일단은 발치 후 옆 치아가 시리거나 불편한 증상이 있는게 아니라면 일단 몇달 지켜보는 것도 방법입니다.

    지금으로서는 사랑니 치관 주위로 약간의 낭성 조직이 생기면서 잇몸뼈가 녹았던거 같은데 발치 후 염증조직 잘 긁어냈고, 기다리면 보통은 잇몸뼈가 다시 차오릅니다.

    1명 평가