아핫뉴스실시간 인기검색어
아핫뉴스 화산 이미지
화산 아이콘 11
하이브 간 김민석 총리
아하

의료상담

내과

탈퇴한 사용자
탈퇴한 사용자

경동맥초음파 (죽상경화, 콜레스테롤)

성별
남성
나이대
49

건강검진에서 콜레스테롤 검사가 되기 시작해서 15년 동안,
검사때 마다 조금씩 차이는 있지만, 대략 적으로 아래와 수준으로 계속 나옵니다.
중성지방 90~100대
HDL 50~60대
LDL 180~200대 를 유지했습니다.

혈액검사에서, ApoB 수치는 128정도 나오고,

sdLDL 에서 small size LDL 은 전혀 없는것으로 나옵니다.

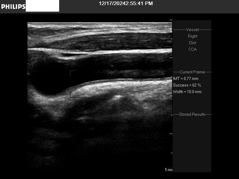
2024년 지난해말 처음으로 경동맥 초음파검사 했는데, 어느정도 수준일까요?

혈관에 염증이 있는 경우 죽상경화가 주로 생긴다고 하는데요.

LDL 단순 수치는 굉장히 높은수준으로 오랬동안 유지된 상태인데, 혈관 상태 수준 조언을 듣고 싶습니다.

  • 1번 째 사진
  • 2번 째 사진
  • 3번 째 사진
  • 4번 째 사진
2개의 답변이 있어요!
  • 안녕하세요. 채홍석 가정의학과 전문의입니다.

    업로드해주신 증상의 설명과 자료는 잘 보았습니다

    LDL이 매우 높은데 약물치료를 하지 않는 이유가 궁금하네요

    지금이라도 약울치료를 받아보시기 바랍니다

    경동맥 초음파는 판독지가 별도로 있습니다.

    그걸 참고하시면 됩니다.

    일반적으로 IMT가 1mm 보다 두꺼운지를 확인하고 혈관에 플라크가 있는지를 봅니다

    초음파 사진으로만 보면 동맥경화가 경증으로 있는 것 같습니다

  • 안녕하세요. 김수비 의사입니다.

    경동맥 초음파는 심장 내과 전문의 혹은 혈관을 주로 보는 영상의학과 전문의한테 여쭤보셔야 합니다.

    결과가 나오지 않으신거라면 기다려 보시고 담당 의사와 상의 하시길 바랍니다

    그리고 이런 결과지는 해당 병원, 담당 의사에게 해석 해달라고 하는게 제일 정확하고 안전합니다. 검사 결과를 해석 할 때는 단순 수치뿐만 아니라 환자의 병력, 증상, 이전 검사 결과까지 종합적으로 고려해야 해요. 따라서 검사를 진행한 담당 의사가 환자에 대해 가장 많은 정보를 알고 있는 사람으로, 검사 결과가 환자에게 어떤 의미를 가지는지, 그리고 그에 맞는 최적의 치료 방법은 무엇인지를 잘 판단할 수 있습니다. 즉, 검사와 관련된 세부적인 정보와 환자의 상태를 가장 잘 아는 담당 의사와 상담 해 보시는게 제일 정확 하고 안전해요