아하
  • 토픽

  • 스파링

  • 잉크

  • 미션


의료상담

살짝쿵매력적인누룽지

살짝쿵매력적인누룽지

슬개골 골절 수술후 질문좀 드리겠습니다.

성별

남성

나이대

30대

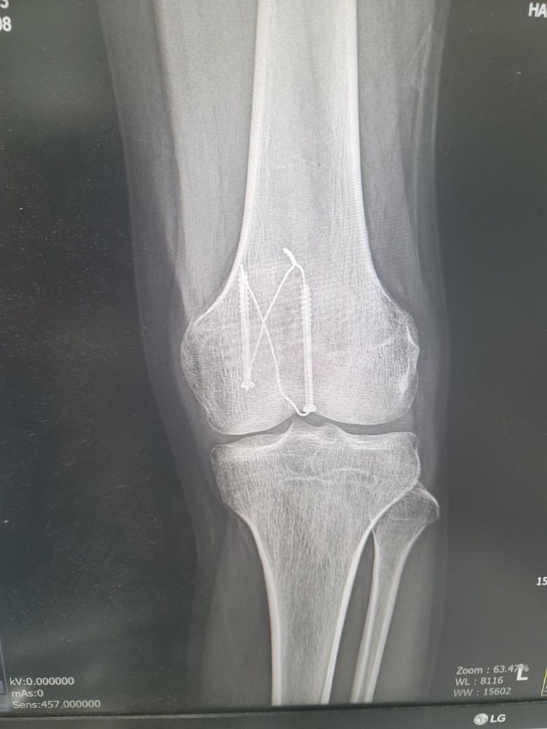
엑스레이 사진은 어제찍은 12주차 사진입니다

1. 엑스레이상 문제는 없나요?

2. 무릎에서 바깥부분부터 가로로 중간부분이 골절선처럼 움푹파여서 만져봐도 움푹파여있던데 뼈가 녹았다거나 생기다가 말수도 있는건가요? 참고로 분쇄골절입니다 ㅠㅠ

  • 1번 째 사진
  • 2번 째 사진
  • 3번 째 사진

5개의 답변이 있어요!

  • 김강록 물리치료사

    김강록 물리치료사

    정형외과

    안녕하세요. 김강록 물리치료사입니다.

    우선 현재로썬 최근에 엑스레이 촬영시 전문의에 소견이 중요합니다.

    전문의에 소견상 큰 문제가 없다고 하면 걱정하지않으셔도 됩니다.

    중간 부분이 골절선처럼 움푹 파인거와 같은 부분은 분쇄골절이다보니 뼈들이 매끈하게 유합되지 않고 약간의 단차가 있어서 지금과 같이 나타날 수 있으며, 뼈가 녹는것은 매우 드뭅니다.

    현재로썬 전문의와 꾸준한 상담과 정기적인 검사를 통해 상태에 따른 적절한 치료와 관리를 해주시길 바랍니다^^

  • 안녕하세요. 송진영 물리치료사입니다.


    사진상으로 12주차라면 분쇄골절 회복 중인 상태로 보이고 금속 고정장치가 잘 자리 잡혀 있는 것으로 확인되어 보여요

    무릎 바깥쪽 움푹 패인 부분은 골절 부위의 골융합이 아직 완전히 진행되지 않아 나타나는 정상 회복과정일 수 있습니다.

    뼈가 녹았다기보다는 아직 뼈가 재형성중이거나 골편 사이가 완전히 매워지지 않은 상태로 볼 수 있습니다!

  • 안녕하세요. 김덕현 물리치료사입니다.

    엑스레이상에는 크게 문제가되는건 아닌걸로보이는데요 뼈의 모양에대해서는 사람마다 달라질수있습니다

    좀더 자세한건 병원에서 전문의와 상담을받아보시고 의사마다 엑스레이를 해석하는게 약간씩은 다를수있으니 다른병원에서도 진료를받아보는걸 추천합니다

    감사합니다~!

  • 안녕하세요. 김의균 물리치료사입니다.

    사진상 정확한 상태 파악이 어려울 수도 있지만 금속 핀 고정은 유지되어 있으며 골절 편들이 비교적 잘 맞춰져 있는 것으로 보입니다. 분쇄골절의 경우 뼈가 완전히 붙는 데 시간이 오래 걸리며 12주차 라면 아직 골소주들이 선명하게 연결되지 않은 상태로 특별한 핀 이탈이나 심한 전위가 없다면 큰 문제는 없을 것으로 생각됩니다.

    무릎 중간 부분이 움푹 패여 보이는 것은 수술 후 연부조직의 위축 때문에 패여 보일 수 있으며 골절 부위의 고나절면이 함몰된 경우에도 패임이 느껴질 수 있습니다. 뼈가 녹았다기보다는 골절 치유 과정에서 흡수 재형성이 일어나거나 관절 연골의 손상 때문에 패여 보일 가능성이 있다고 생각합니다.

    정확한 상태를 알 수 없기에 자세한 사항은 추가적인 검사를 통해 검사 받아보시고 상담 가져보시면 좋을 것으로 생각됩니다.

    빠른 쾌유를 기원합니다.

    감사합니다 수고하세요~

  • 안녕하세요. 김현태 물리치료사입니다.

    1. 고정이 되어있는 것으로 보이고, 진료시에도 특이사항에 대한 다른 소견을 듣지않으셨다면 문제가 발생했다고 보기는 어려울 수 있습니다.

    2. 골절이후 뼈가 유합되는 과정은 바로 뼈가 형성이 되는 것이 아니라 서서히 생겨나가고, 그 과정중에는 뼈가 말랑한 촉감이 있거나 파여있는듯한 변화가 나타날 수 있는데요, 정확한 소견은 주치의와 진료시 상담을 하시는 것을 추천드립니다.