아핫뉴스실시간 인기검색어
아핫뉴스 화산 이미지
아하

의료상담

치과

영민한상괭이191
영민한상괭이191

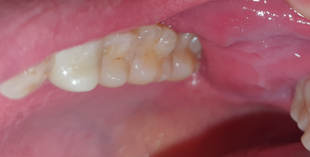
어금니 작은 레진이 깨진것같아요

윗제일안쪽 어금니에 충치가있다하여

레진치료를하자해서 1년전쯤 했습니다

마취없이 치아를살짝삭제해서 레진으로떼웠다했습니다

치료전 치아상태는 사진찍어 보여줬고

치료후모습은본적이 없어서

정확히어느부분인지 잘몰랐습니다

그렇게지내다 갑자기오늘

혀로대봤는데 평소와달리 까끌거리고날카로운느낌이 나네요

제일안쪽어금니의 제일 안쪽 뿔처럼 살짝뾰족한 그부위가 까끌거린대

이대로지내도 상관이없을까요


다시같은치과를간다면 해당부위 재치료시

비용적으로 혜택이 보통 있을까요


가격이같다면 다른치과를가고싶어서요



갑자기느낌이 이상해서 걱정입니다





  • 1번 째 사진
  • 2번 째 사진
55글자 더 채워주세요.
3개의 답변이 있어요!
  • 안녕하세요. 김철진 치과의사입니다.

    치료를 받으신지 얼마 안되셧다면 치과에 가셔서 다시 체크를 받아보시고 나서 a/s를 받으시면될것같습니다.

  • 안녕하세요. 최석민 치과의사입니다.

    1. 치료 받은 지 6개월 내라면 레진 탈락이나 레진 일부 파절에 대해서 비용을 일부 치과에서 부담할 수 있습니다.

    2. 현재 첨부된 사진상에서는 정확히 어떤 상태인지 보이지 않습니다. 레진이 깨지거나 탈락한게 아니라 다소 거칠어진 것이라면 단순 다듬기로도 불편감이 감소할 수 있으니 치과를 내원하여 검사받아보시기 바랍니다.

  • 안녕하세요. 안상우 치과의사입니다.

    레진 등으로 치아를 충전한 부위가 깨졌다면 해당 부위를 다시 충전해주는 곳이 좋을 수 있습니다. 충전물이 벌이 깨지게 되면 해당 부위의 음식물이 끼어 충치가 생길 수 있기 때문입니다