5중족골 골절 수술과비수술 봐주세요
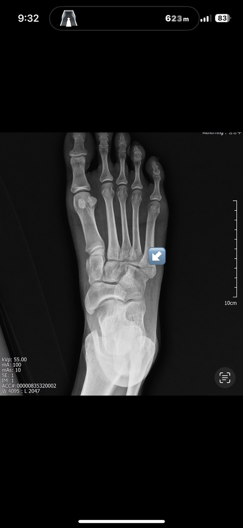
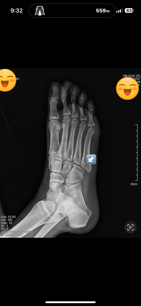
10/5접지름으로인한 5중족골 기저부골절
병원4군데방문
1군데빼고는 비수술로 가보자고하셨는데
제가 11/17결혼예정이라
걱정이됩니다..
비수술해도 4주-6주 후 제대로 걸을수있을까요 ㅜㅜ
안녕하세요. 김지훈 물리치료사입니다.
비수술적 치료는 보통 깁스나 부목을 사용하여 안정시키는 방법입니다 이를 통해서 골절 부위가 치료됩니다
보통은 4주에서 6주정도 골절부위에 하중을 주지 않고 안정화 시키셔야 합니다
개인의 회복속도에 따라 차이가 있지만 4주 후에는 보행이 가능할 수 있지만 완전히 정상적으로 걷는것은 힘들어 보입니다...
요약하자면 비수술적 치료를 선택할 경우에 4주후에 보행은 가능할 수 있으나 약간의 절뚝임이나 통증이 남아있을 수도있습니다 그것을 고려하시고 준비하셔야 할것같습니다..
1명 평가안녕하세요. 송진영 물리치료사입니다.
비수술적인 치료로도 회복이 가능할 수 있습니다. 일반적으로 비수술 치료 시에는 여러가지를 고려해봐야 합니다! 보통 4~6주 정도의 기간 동안 안정과 치료를 받게 되며 이 기간 후에는 점진적으로 체중을 실어 걷기 시작할 수 있습니다 하지만 개인 차이가 크기 때문에 정확한 회복 시간은 다를 수 있습니다. 또 물리치료를 통해 재활을 진행하는 것이 중요해요 결혼식 전에 걷는 것이 가능할 수 있지만 무리하지 않도록 주의해야합니다!
1명 평가안녕하세요. 권만순 물리치료사입니다.
비수술로 한번 지내보시는게 좋을 듯 합니다.. 아무래도 골절의 경우 최소 2달 정도는 움직이기 힘들기 때문에.. 최대한 무리 하지 마시고 조심히 생활 하시고, 기브스나 보호대를 꼭 착용하시고 생활 하시길 바랍니다. 이후 본식이 다 마무리 된 상태에서 다시 검사 했을때 골유합이 안되었다면 그때 수술 하셔도 되니까 일단은 비수술로 한번 지내보시는게 좋을 듯 합니다.
1명 평가안녕하세요. 정유진 물리치료사입니다.
비수술로 지켜보는게 좋습니다. 어차피 수술 해도 6주 안에 못 걷습니다. 수술을 해야한다면 중요한 결혼식 끝난 이후에 하시는게 좋고 이전까지는, 기브스나, 고정을 잘 해놓고 생활 하셔야 할 듯 합니다.
1명 평가안녕하세요. 김현태 물리치료사입니다.
우선은, 골절 정도가 심하지 않다면, 석고 고정으로 경과를 관찰하시는 것이 질문자분의 상황을 고려한다면, 좋을 것 같습니다. 골유합이 제대로 되지 않는 경우에 수술을 고려해볼 수 있다고 생각되며, 전문의들의 여러가지 소견을 들어보시고 안전한 방법으로 치료방향을 결정하시기를 바랍니다. 골유합을 위해 안정을 취하시고 충분한 휴식을 취해주시기를 추천드립니다.
1명 평가안녕하세요. 김의균 물리치료사입니다.
골절의 정도에 따라 수술 혹은 비수술로 나뉘어 치료를 진행하게 되어있는데, 상태를 보는 관점이 의사들마다 다르다 보니 수술 혹은 비수술로 나뉘게 됩니다.
비수술적으로 치료시 보통 깁스나 부목등을 사용하여 안정 및 고정 시켜 회복하는 방법을 이용하는데, 보통 4~6주정도 치료 기간이 걸립니다. 이 기간 동안 되도록 이면 체중 부하를 안 주는게 좋습니다.
개인의 회복속도에 따라 차이가 있을수 있으나, 보통 4주정도 지나면 보행은 가능하나 통증 및 약간의 절뚝임이 있을수도 있습니다. 최대한 회복이 빨리 될 수 있도록 음주 및 흡연은 삼가 해주시면 좋을 것 같습니다.
빠른 쾌유를 기원합니다.
감사합니다 수고하세요~

