아하
  • 토픽

  • 스파링

  • 잉크

  • 미션


의료상담

마나가하

마나가하

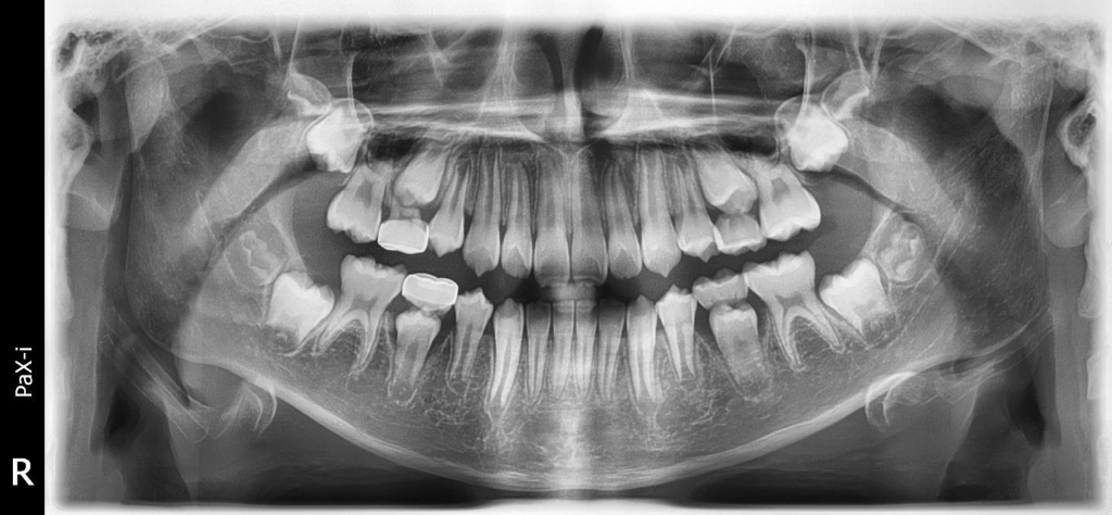
아이 맹출중인 영구치 어금니 모양 방향?

아이영구치어금니인데요

지금나고있어요, 오늘 치과갔더니

사진에 왼쪽(L)부분이 한 45도정도 모양이 틀어져서 났다고 하네요. 오른쪽(R)과 비교시 그러긴합니다. 선생님께선 특별히 저정도로 교정까진 안해도될것같다고 나중에 본인이 씹는데 불편하다던지 음식이 잘안씹히다던지 하는등의 불편감이 있다면 선택적으로교정해도될것같다고 들었습니다. 그런데 저 뾰족하게솟은부분이 씹을때 윗치아에 닿으면 윗치아에도 안좋은게아닌가하는 의문이 문득 들어서요. 그냥 둬도 괜찮은건가요?

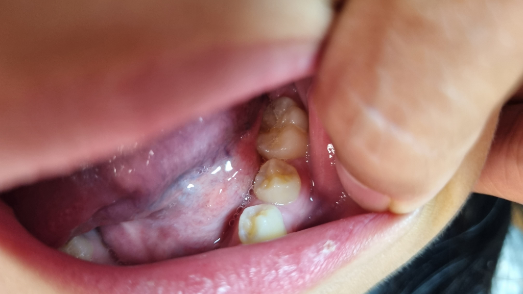
(맨위 좌우비교사진상 어금니에 하얀건 뭐가묻은거에요,;;)

파노라마도첨부해요(파노라마사진은 아직 발치전 사진입니다. 현재는 이미발치해서 나오는중입니다)

치아가 방향이돌아갈확률은없는거겠죠.






  • 1번 째 사진
  • 2번 째 사진
  • 3번 째 사진

4개의 답변이 있어요!

  • 정진석 치과의사

    정진석 치과의사

    대학병원 통합치의학전문의

    안녕하세요. 정진석 치과의사입니다.

    치아 자체가 돌아간 것은 맞습니다. 하지만 치아가 돌아갔다고 해서 말씀하신 뾰족한 부위로 인하여 위쪽 치아에 위해를 가하거나 하지 않습니다. 다만 치아 자체가 돌아서 났다면 다른 치아도 관찰해볼 필요가 있으며 조기에 개입하여 교정하는 것도 방법입니다.

    아무쪼록 저의 답변이 문제 해결에 작게 나마 도움이 될 수 있기를 기원드립니다. 항상 건강하고, 행복하세요^^

    정진석 치과의사 드림

  • 안녕하세요. 김철진 치과의사입니다.

    치아가 둘아갈 가능성은 없으며 치과에서 말한것처럼 교합적인 부분에만 문제가 없다면 그냥 사용하셔도 상관없습니다

  • 안녕하세요. 안상우 치과의사입니다.

    치아가 맹출중에는 치아의 경사가 변동될수 있습니다.

    주기적으로 치과에서 진료를 받아 보시고 치축이 너무 경사될수 있다면 초기 교정을 할수도 있습니다.


  • 안녕하세요. 최석민 치과의사입니다.

    추가 답변 드립니다

    방사선 사진과 추가된 임상 사진을 보니 치외치는 아닌 것 같습니다

    혼란을 드려 죄송합니다

    물론 치외치 여부와 상관없이 소구치의 회전맹출로 교두가 위,아래 맞물릴 때 정확히 교합 지점을 찾지 못하여 깨지거나 마모되기 쉬운 것은 맞습니다

    이미 어느정도 맹출하고 자리를 잡은 상태라 더 이상 여기서 올바르게 배열되기는 힘들 것 같습니다